Тема: Стоматология. Зубные вопросы.

Ответить в теме
Страница 1985 из 2074 ПерваяПервая ... 985 1485 1885 1935 1975 1983 1984 1985 1986 1987 1995 2035 ... ПоследняяПоследняя
Показано с 39,681 по 39,700 из 41466
  1. Вверх #39681
    Частый гость Аватар для Colom
    Пол
    Женский
    Сообщений
    672
    Репутация
    1045
    Цитата Сообщение от Gold_Stone Посмотреть сообщение
    Где стоит цена750 уе за удаление зуба? Обязательно туда порекомендую обратиться всем своим знакомым
    750 у.е стоит удалить зуб на родине этих самых у.е. Операция на десне думаю в 2 раза больше, но и еще проблема в том, что врач не признает своей ошибки. Вопрос был, есть ли в Одессе хирург, который может исправить рукож@пость америк. коллеги на десне. Весной хочу прилететь.


  2. Вверх #39682
    Не покидает форум Аватар для Дантист
    Пол
    Мужской
    Адрес
    Одесса
    Возраст
    42
    Сообщений
    7,043
    Репутация
    2328
    Цитата Сообщение от Andrei1 Посмотреть сообщение
    Дантист, подскажите, пожалуйста.
    Много лет назад сверлили дырку в зубе. Сверлили глубоко. Но, до корня не дошли. Как сказала врач, положили лекарство и запломбировали.
    После этого иногда замечаю чувствительность зуба к холоду либо во время болезней чувствуется лёгкое "нытьё" (не боль).
    Спустя 5 лет пошёл в другую клинику по этому поводу, там сделали снимок и предложили превентивно удалить корень, если я захочу, сами они сомневались. Я отказался. Так и живу (суммарно 8 лет).
    Как можно понять, что с зубом всё хорошо или не хорошо?
    С ним уже все хорошо, раз он с нервом (корнем по - вашему)

    Цитата Сообщение от Colom Посмотреть сообщение
    750 у.е стоит удалить зуб на родине этих самых у.е. Операция на десне думаю в 2 раза больше, но и еще проблема в том, что врач не признает своей ошибки. Вопрос был, есть ли в Одессе хирург, который может исправить рукож@пость америк. коллеги на десне. Весной хочу прилететь.
    Нужно видеть, что произошло.

  3. Вверх #39683
    Посетитель
    Пол
    Женский
    Сообщений
    292
    Репутация
    136
    Кто пользовался услугами клиники ДентАл М (Фонтанская дорога, 33.1), Брижатый Александр Михайлович, отпишитесь, плиз. Можно в личку.

  4. Вверх #39684
    Частый гость Аватар для yum
    Пол
    Женский
    Сообщений
    572
    Репутация
    371
    Здравствуйте. Поделитесь контактами хорошего стоматолога, действительного хорошего, так как ситуация непонятная (лично мне и 2м другим стоматологам), нужна грамотная консультация.
    [MOD]

  5. Вверх #39685
    Новичок
    Пол
    Женский
    Сообщений
    66
    Репутация
    36
    Здравствуйте. Поделитесь, пожалуйста, опытом лечения пародонтоза. Процедуры, препараты, цена, результаты. Спасибо!

  6. Вверх #39686
    Посетитель Аватар для Барвинок
    Пол
    Женский
    Сообщений
    255
    Репутация
    201
    Добрый день)
    Посоветуйте, пожалуйста, хорошего стоматолога- женщину в поликлинике номер 5 на Котовского.

  7. Вверх #39687
    Не покидает форум Аватар для Дантист
    Пол
    Мужской
    Адрес
    Одесса
    Возраст
    42
    Сообщений
    7,043
    Репутация
    2328
    Цитата Сообщение от дига Посмотреть сообщение
    Здравствуйте. Поделитесь, пожалуйста, опытом лечения пародонтоза. Процедуры, препараты, цена, результаты. Спасибо!
    Парадонтолог - это врач, который чистит карманы пациентов.

  8. Вверх #39688
    Постоялец форума
    Пол
    Мужской
    Адрес
    Edmonton
    Возраст
    61
    Сообщений
    2,428
    Репутация
    674
    Цитата Сообщение от Дантист Посмотреть сообщение
    Парадонтолог - это врач, который чистит карманы пациентов.
    Ну я бы не сказал, что его работа совсем уж бесполезна, хотя пародонтит вылечить конечно невозможно.

  9. Вверх #39689
    Новичок
    Пол
    Женский
    Сообщений
    66
    Репутация
    36
    Цитата Сообщение от VadimIv Посмотреть сообщение
    Ну я бы не сказал, что его работа совсем уж бесполезна, хотя пародонтит вылечить конечно невозможно.
    Пусть не вылечить совсем, но хотя бы подлечить. Очень большой дискомфорт(

  10. Вверх #39690
    Не покидает форум Аватар для Дантист
    Пол
    Мужской
    Адрес
    Одесса
    Возраст
    42
    Сообщений
    7,043
    Репутация
    2328
    Цитата Сообщение от дига Посмотреть сообщение
    Пусть не вылечить совсем, но хотя бы подлечить. Очень большой дискомфорт(
    Нет зуба - нет проблемы.

  11. Вверх #39691
    Посетитель
    Пол
    Женский
    Сообщений
    292
    Репутация
    136
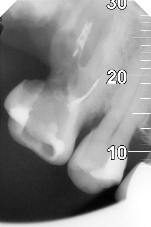
    Уважаемые стоматологи!
    Какие есть варианты лечения такого зуба?
    Нажмите на изображение для увеличения
Название: Зуб6.jpg
Просмотров: 37
Размер:	52.5 Кб
ID:	13574616

  12. Вверх #39692
    Новичок
    Пол
    Женский
    Сообщений
    9
    Репутация
    16
    Этот 16 зубик лечил не только талантливый дохтУр,но и находился во рту не менее заботливого хозяина. У зубика незавидная судьба. Кстати-и остатки 17 ждет тоже самое.

  13. Вверх #39693
    Постоялец форума Аватар для Ded Zlovred
    Пол
    Мужской
    Сообщений
    1,111
    Репутация
    1468
    Цитата Сообщение от Lie Посмотреть сообщение
    Уважаемые стоматологи!
    Какие есть варианты лечения такого зуба?
    Вложение 13574616
    Увы, только удаление.
    Основное средство сохранности зубов - уважительное отношение к людям

  14. Вверх #39694
    Посетитель
    Пол
    Мужской
    Сообщений
    142
    Репутация
    78
    Посоветуйте, пожалуйста, хорошего ПАРОДОНТОЛОГА по умеренным ценам! Только действительно хорошего специалиста. Желательно ТАИРОВА. Пишите в личные сообщения.
    ВСЕМ спасибо!

  15. Вверх #39695
    Не покидает форум Аватар для жануля
    Пол
    Женский
    Адрес
    Одесса
    Сообщений
    5,045
    Репутация
    2297
    Цитата Сообщение от Владимир111 Посмотреть сообщение
    Посоветуйте, пожалуйста, хорошего ПАРОДОНТОЛОГА по умеренным ценам! Только действительно хорошего специалиста. Желательно ТАИРОВА. Пишите в личные сообщения.
    ВСЕМ спасибо!
    Целое отделение на Ришельевской,11 Ну правда не Таирова!
    У нас есть Счастье по имени Андрюша!!!

  16. Вверх #39696
    Живёт на форуме Аватар для Zhuzhe4k@
    Пол
    Женский
    Сообщений
    3,803
    Репутация
    2693
    Цитата Сообщение от Владимир111 Посмотреть сообщение
    Посоветуйте, пожалуйста, хорошего ПАРОДОНТОЛОГА по умеренным ценам! Только действительно хорошего специалиста. Желательно ТАИРОВА. Пишите в личные сообщения.
    ВСЕМ спасибо!
    Дримхаус на Костанди 7/22 пародонтолог Гончарова, Перова

  17. Вверх #39697
    Посетитель Аватар для Tootsie
    Пол
    Женский
    Сообщений
    124
    Репутация
    80
    Добрый день! Подскажите, если кто знает, Олег Аркадьевич Непомнящий сейчас только в Тирасе принимает? Раньше он на Генерала Петрова принимал.

  18. Вверх #39698
    Частый гость
    Пол
    Мужской
    Сообщений
    601
    Репутация
    289
    Цитата Сообщение от Tootsie Посмотреть сообщение
    Добрый день! Подскажите, если кто знает, Олег Аркадьевич Непомнящий сейчас только в Тирасе принимает? Раньше он на Генерала Петрова принимал.
    Принимал в ноябре. Вряд ли он будет лечить, он проводит первичный осмотр, а потом либо его сын лечит, либо другой врач.

  19. Вверх #39699
    Посетитель Аватар для Tootsie
    Пол
    Женский
    Сообщений
    124
    Репутация
    80
    Цитата Сообщение от saivd Посмотреть сообщение
    Принимал в ноябре. Вряд ли он будет лечить, он проводит первичный осмотр, а потом либо его сын лечит, либо другой врач.
    Как жаль что он не лечит. Хороший был врач. А как его сын, хорошо лечит или ...?
    Мне нужен стоматолог, не так чтоб срочно, но, надо зубы полечить. В идеале конечно на Черемушках. Порекомендуйте пожалуйста, если знаете хорошего стоматолога.

  20. Вверх #39700
    Новичок
    Пол
    Мужской
    Возраст
    38
    Сообщений
    39
    Репутация
    31
    Давайте немного пофантазируем.
    Интересует мнение экспертов стоматологии.
    Например человеку предстоит отправиться куда-то в один конец. Необитаемый остров например или полет на Марс.
    Как лучше подготовится к этому в плане стоматологии? Ведь зубы рано или поздно начнут болеть.
    1. Просто пролечить все проблемные моменты и запастись обезбаливающими. Так себе вариант как по мне.
    2. Депульпировать все зубы. Меньше живых нервов - меньше боли. На случай возможного переодонтита взять с собой набор инструментов для удаления зуба.
    3. Удалить все зубы и поставить коронки на имплантах.
    4. Удалить все зубы и взять с собой пару комплектов вставных челюстей. Обычных как у дедушки в стакане.


Ответить в теме
Страница 1985 из 2074 ПерваяПервая ... 985 1485 1885 1935 1975 1983 1984 1985 1986 1987 1995 2035 ... ПоследняяПоследняя

Метки этой темы

Социальные закладки

Социальные закладки

Ваши права

  • Вы не можете создавать новые темы
  • Вы не можете отвечать в темах
  • Вы не можете прикреплять вложения
  • Вы не можете редактировать свои сообщения