Тема: Стоматология. Зубные вопросы.

Ответить в теме
Страница 1789 из 2079 ПерваяПервая ... 789 1289 1689 1739 1779 1787 1788 1789 1790 1791 1799 1839 1889 ... ПоследняяПоследняя
Показано с 35,761 по 35,780 из 41580
  1. Вверх #35761
    Частый гость Аватар для Irisha121
    Пол
    Женский
    Возраст
    39
    Сообщений
    810
    Репутация
    640
    Здравствуйте! Посоветуйте, пожалуйста, специалиста по лечению корневых каналов. В клинике с рентгеном и использованием коффердама/раббердама.
    То, во что ты веришь, становится твоим миром.


  2. Вверх #35762
    Живёт на форуме Аватар для toffee
    Пол
    Женский
    Адрес
    Одесса
    Возраст
    43
    Сообщений
    4,052
    Репутация
    3950
    Цитата Сообщение от Натали 7 Посмотреть сообщение
    Здравствуйте! Вопрос к стоматологам. Но может кто-то что-то посоветует, стоматолога или клинику)
    Последние 2,5 года периодически беспокоят экстрасистолы (аритмия), по обследованиям здорова. До этого около 8 лет была тахикардия, при ней зубы лечила и все было нормаль. Но как при эсках? Пугает реакция на анестезию. Зубы в плохом состоянии, нужно уже ими заняться. Спасибо)
    Я вам в репку ответила,но добавлю, что как вариант- ищите врача, кто работает с анастезией без адреналина. Ну и с собой берите свои таблетки для сердца, на всякий.
    жаль, что человеческая тупость не причиняет физической боли

  3. Вверх #35763
    Частый гость
    Пол
    Мужской
    Сообщений
    619
    Репутация
    102
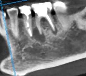
    Добрый вечер! Подскажите пожалуйста можно ли спасти зуб. К какому специалисту обращаться по данному вопросу ?

    Нажмите на изображение для увеличения
Название: 123.jpg
Просмотров: 178
Размер:	19.6 Кб
ID:	13135919
    Последний раз редактировалось filmmaker; 04.06.2019 в 20:55.

  4. Вверх #35764
    Постоялец форума Аватар для eugtar
    Пол
    Мужской
    Адрес
    Одесса
    Возраст
    47
    Сообщений
    2,855
    Репутация
    73652
    Цитата Сообщение от filmmaker Посмотреть сообщение
    Добрый вечер! Подскажите пожалуйста можно ли спасти зуб. К какому специалисту обращаться по данному вопросу ?

    Вложение 13135919
    ...потраченные средства и время на спасение этого зуба в итоге могут совсем не соответствовать ожиданиям в достижении конечного результата...

  5. Вверх #35765
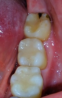
    Здравствуйте! Стоит ли вкладываться в эту восьмерку ?Если да, то насколько срочно? Сложная в гигиене, но в остальном никаких претензий к зубу нет. Уже один раз пломбировал. Сегодня случайно обнаружил, что там опять кариес, причем довольно приличный. Удивляюсь, как раньше не заметил.
    Нажмите на изображение для увеличения
Название: viber_image_2019-06-04_23-14-36.jpg
Просмотров: 40
Размер:	24.8 Кб
ID:	13136068
    Последний раз редактировалось Gothicman; 04.06.2019 в 22:24.

  6. Вверх #35766
    Посетитель Аватар для Натали 7
    Пол
    Женский
    Адрес
    Одесса
    Возраст
    41
    Сообщений
    269
    Репутация
    221
    Цитата Сообщение от vozzzdyh Посмотреть сообщение
    Простите, а какая связь экстрасистол со стоматологией?
    Вот я и хочу узнать) Есть ли связь? Может ли анестезия спровоцировать эски? И что сделать что бы этого не произошло и все прошло гладко)

  7. Вверх #35767
    Постоялец форума Аватар для eugtar
    Пол
    Мужской
    Адрес
    Одесса
    Возраст
    47
    Сообщений
    2,855
    Репутация
    73652
    Цитата Сообщение от Gothicman Посмотреть сообщение
    Здравствуйте! Стоит ли вкладываться в эту восьмерку ?Если да, то насколько срочно? Сложная в гигиене, но в остальном никаких претензий к зубу нет. Уже один раз пломбировал. Сегодня случайно обнаружил, что там опять кариес, причем довольно приличный. Удивляюсь, как раньше не заметил.
    Вложение 13136068
    ...если учитывать только обозримый участок (хронический процесс), то срочности большой нет, 1-2 мес. погоды не сделает. Снимок бы дал более полный прогноз. Лечить можно и нужно.

  8. Вверх #35768
    Постоялец форума Аватар для Ded Zlovred
    Пол
    Мужской
    Сообщений
    1,111
    Репутация
    1468
    Цитата Сообщение от vozzzdyh Посмотреть сообщение
    Простите, а какая связь экстрасистол со стоматологией?
    Цитата Сообщение от Натали 7 Посмотреть сообщение
    Вот я и хочу узнать) Есть ли связь? Может ли анестезия спровоцировать эски? И что сделать что бы этого не произошло и все прошло гладко)
    Лидокаином анестезии уже давно в стоматологии не делают.
    Анестетики с эпинефрином (адреналином) в таком случае использовать не надо.
    Ну а современные препараты без адреналина прямого медикаментозного действия на появление приступа не окажут.
    Тут есть другой момент - в стоматологии вмешательство, требующее анестезии само по себе может быть стрессом для пациента, а это вполне может спровоцировать э/с.
    При функциональной природе э/с обычно кроме слабости или обморока более тяжёлых последствий не бывает.
    Если же э/с имеет органическую природу - тут возможны и более тяжёлые осложнения, вплоть до развития довольно серьёзного приступа аритмии, со всеми вытекающими.
    В любом случае, стоит обратиться к своему кардиологу, чтобы он порекомендовал Вам успокаивающие преператы, дабы предупредить возможное возникновение э/с, предупредить Вашего стоматолога, чтобы он не использовал анестетик с эпинефрином, ну и имел под рукой тонометр для контроля АД после анестезии.
    Ну и настроиться на то, что в анестезии ничего страшного нет.
    Основное средство сохранности зубов - уважительное отношение к людям

  9. Вверх #35769
    Частый гость
    Пол
    Мужской
    Сообщений
    619
    Репутация
    102
    Цитата Сообщение от eugtar Посмотреть сообщение
    ...потраченные средства и время на спасение этого зуба в итоге могут совсем не соответствовать ожиданиям в достижении конечного результата...
    Спасибо за Ваше мнение. Удалить всегда можно успеть. Просьба другим стоматологам посоветовать к кому можно обратиться в Одессе по данному вопросу (очно).Нажмите на изображение для увеличения
Название: 123.jpg
Просмотров: 16
Размер:	19.6 Кб
ID:	13136121

  10. Вверх #35770
    Постоялец форума Аватар для Ded Zlovred
    Пол
    Мужской
    Сообщений
    1,111
    Репутация
    1468
    Цитата Сообщение от filmmaker Посмотреть сообщение
    Спасибо за Ваше мнение. Удалить всегда можно успеть...
    Можно, конечно. Главное - не затянуть до момента, когда придётся ещё и 5-й зуб удалять. Ситуация не очень благоприятная, увы.
    Но решать, конечно, Вам.
    Основное средство сохранности зубов - уважительное отношение к людям

  11. Вверх #35771
    Посетитель Аватар для Ningusha
    Пол
    Женский
    Адрес
    Одесса
    Возраст
    36
    Сообщений
    149
    Репутация
    93
    Цитата Сообщение от Nikka12 Посмотреть сообщение
    Добрый вечер.
    Если ещё актуально могу поискать рабочий телефон.
    Правда лечилась у него лет 10 назад.
    Спасибо, уже нашла.

  12. Вверх #35772
    Посетитель Аватар для Натали 7
    Пол
    Женский
    Адрес
    Одесса
    Возраст
    41
    Сообщений
    269
    Репутация
    221
    Цитата Сообщение от Ded Zlovred Посмотреть сообщение
    Лидокаином анестезии уже давно в стоматологии не делают.
    Анестетики с эпинефрином (адреналином) в таком случае использовать не надо.
    Ну а современные препараты без адреналина прямого медикаментозного действия на появление приступа не окажут.
    Тут есть другой момент - в стоматологии вмешательство, требующее анестезии само по себе может быть стрессом для пациента, а это вполне может спровоцировать э/с.
    При функциональной природе э/с обычно кроме слабости или обморока более тяжёлых последствий не бывает.
    Если же э/с имеет органическую природу - тут возможны и более тяжёлые осложнения, вплоть до развития довольно серьёзного приступа аритмии, со всеми вытекающими.
    В любом случае, стоит обратиться к своему кардиологу, чтобы он порекомендовал Вам успокаивающие преператы, дабы предупредить возможное возникновение э/с, предупредить Вашего стоматолога, чтобы он не использовал анестетик с эпинефрином, ну и имел под рукой тонометр для контроля АД после анестезии.
    Ну и настроиться на то, что в анестезии ничего страшного нет.
    Спасибо что все расписали)
    Органики нет, обследована, в том числе узи сердца. У меня и кардиолога своего нет, меня к нему и не направляют, сказали здорова и что у здоровых людей определенное кол-во норма. Сказали только меньше нервничать) И лекарств особо и не прописываю, успокоительное, аспаркам и милдронат. Сознание не теряю, чувствую себя обычно нормаль, просто чувствую их. Да и периодами они, сейчас уже месяц тишина))

    Может кто посоветует стоматолога которого не пугают такие пациенты))

  13. Вверх #35773
    Новичок
    Пол
    Женский
    Сообщений
    1
    Репутация
    12
    Добрый день. Подскажите, пожалуйста, толкового стоматолога. Необходимо поставить 3-4 пломбы, по адекватной цене и хорошего качества. Желательно центр / фонтан. Заранее спасибо!

  14. Вверх #35774
    Постоялец форума Аватар для Bangkok
    Пол
    Женский
    Адрес
    Одесса
    Сообщений
    2,111
    Репутация
    12111
    спрашивали у меня контакты хирурга который удалял зуб мудрости, визитку не нашла (зовут Карман Аркадий Анатольевич)
    Стоматологическая Клиника ОНМедУ
    ул.Мечникова 32
    8 (048) 712–45–80
    Вячеслав Рыбиков feat Bria Blessing - Вiрю YouTube

  15. Вверх #35775
    Новичок
    Пол
    Мужской
    Сообщений
    71
    Репутация
    143
    Добрый день. Спрашиваю не для себя. Посоветуйте деликатного толкового стоматолога для лечения кариеса (желательно не за все деньги мира). У потенциальной пациентки паническая боязнь стоматологов и боли. Район центра.
    Трудное надо сделать привычным, привычное — легким, а легкое — приятным.

  16. Вверх #35776
    Посетитель Аватар для Vicci
    Пол
    Женский
    Адрес
    Одесса
    Сообщений
    217
    Репутация
    66
    Цитата Сообщение от filmmaker Посмотреть сообщение
    Добрый вечер! Подскажите пожалуйста можно ли спасти зуб. К какому специалисту обращаться по данному вопросу ?

    Вложение 13135919
    Я, конечно, не врач, просто поделюсь - ситуация была точно такая же на нижней 6ке. Тоже сразу советовали удалить, но пыталась спасти до последнего. Лечили, время тратили, деньги тратили. Все равно в итоге киста (чуть было и на соседний зуб не пробралась) - воспаление - флюс-удаление. Потом еще ждала пока восстановится костная ткань. Надо было сразу удалять и имплантировать

  17. Вверх #35777
    Не покидает форум Аватар для Диона
    Пол
    Женский
    Адрес
    Одеса
    Сообщений
    6,270
    Репутация
    10262
    Цитата Сообщение от Ded Zlovred Посмотреть сообщение
    Лидокаином анестезии уже давно в стоматологии не делают.
    Анестетики с эпинефрином (адреналином) в таком случае использовать не надо.
    Ну а современные препараты без адреналина прямого медикаментозного действия на появление приступа не окажут.
    Тут есть другой момент - в стоматологии вмешательство, требующее анестезии само по себе может быть стрессом для пациента, а это вполне может спровоцировать э/с.
    При функциональной природе э/с обычно кроме слабости или обморока более тяжёлых последствий не бывает.
    Если же э/с имеет органическую природу - тут возможны и более тяжёлые осложнения, вплоть до развития довольно серьёзного приступа аритмии, со всеми вытекающими.
    В любом случае, стоит обратиться к своему кардиологу, чтобы он порекомендовал Вам успокаивающие преператы, дабы предупредить возможное возникновение э/с, предупредить Вашего стоматолога, чтобы он не использовал анестетик с эпинефрином, ну и имел под рукой тонометр для контроля АД после анестезии.
    Ну и настроиться на то, что в анестезии ничего страшного нет.
    У меня недавно случился казус на кресле... Сделали анестезию, стала затерпевать челюсть и я почувствовала, что начинает оттекать нёбо, с закрытым ртом не хватало воздуха... Никогда такого не было от слова вообще за последние 25 лет. В общем, запаниковала и пришлось отказаться от продолжения сеанса. По мере ослабления анестезии нормальное состояние вернулось. Что это могло быть?
    Выслушав меня, мой психолог записался к своему.

  18. Вверх #35778
    трубокур-анархист Аватар для Сергун
    Пол
    Мужской
    Адрес
    Odessa - mother
    Сообщений
    4,922
    Репутация
    3375
    Цитата Сообщение от Диона Посмотреть сообщение
    Что это могло быть?
    Могли быть пирожки, с грустью в душе и слезами на глазах у родных и проблемами у дохтора...
    - Неплохо стреляешь. Где это ты научился?
    - По самоучителю.©

  19. Вверх #35779
    Адвокат дьявола

    Аватар для lisichka-l
    Пол
    Женский
    Сообщений
    5,516
    Репутация
    2107
    Цитата Сообщение от Диона Посмотреть сообщение
    У меня недавно случился казус на кресле... Сделали анестезию, стала затерпевать челюсть и я почувствовала, что начинает оттекать нёбо, с закрытым ртом не хватало воздуха... Никогда такого не было от слова вообще за последние 25 лет. В общем, запаниковала и пришлось отказаться от продолжения сеанса. По мере ослабления анестезии нормальное состояние вернулось. Что это могло быть?
    Это сильная аллергическая реакция, которая могла закончиться т.к. написали выше

  20. Вверх #35780
    Не покидает форум Аватар для galya2013
    Пол
    Женский
    Адрес
    Одесса
    Сообщений
    19,104
    Репутация
    26815
    Так что не туда вкололи или не то лекарство для обезболивания?
    Слабые мстят,сильные прощают,а счастливые забывают.


Ответить в теме
Страница 1789 из 2079 ПерваяПервая ... 789 1289 1689 1739 1779 1787 1788 1789 1790 1791 1799 1839 1889 ... ПоследняяПоследняя

Метки этой темы

Социальные закладки

Социальные закладки

Ваши права

  • Вы не можете создавать новые темы
  • Вы не можете отвечать в темах
  • Вы не можете прикреплять вложения
  • Вы не можете редактировать свои сообщения