Тема: Стоматология. Зубные вопросы.

Ответить в теме
Страница 1277 из 2077 ПерваяПервая ... 277 777 1177 1227 1267 1275 1276 1277 1278 1279 1287 1327 1377 1777 ... ПоследняяПоследняя
Показано с 25,521 по 25,540 из 41534
  1. Вверх #25521
    Постоялец форума Аватар для Dr. Evil
    Пол
    Мужской
    Сообщений
    1,390
    Репутация
    703
    Цитата Сообщение от Дантист Посмотреть сообщение
    Новая игра - "Узнай врача по цене коронки" ? ))
    Увлекательно.
    "А если найду?.." (c)


  2. Вверх #25522
    Постоялец форума Аватар для Skydoc
    Пол
    Женский
    Сообщений
    2,762
    Репутация
    3376
    Ну, по цене коронки сложнее, а вот с двух нот, по депофорезу, круг сужается
    - Ты сильная! Ты справишься!...
    - Я умная! Я даже не возьмусь! :-)

  3. Вверх #25523
    Не покидает форум Аватар для Дантист
    Пол
    Мужской
    Адрес
    Одесса
    Возраст
    42
    Сообщений
    7,069
    Репутация
    2336
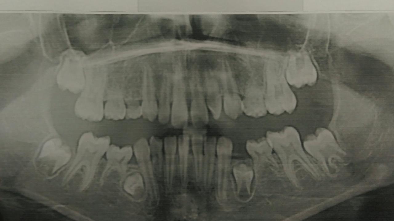
    Любителям реставраций мертвых зубов посвящается.


  4. Вверх #25524
    Постоялец форума Аватар для Dr. Evil
    Пол
    Мужской
    Сообщений
    1,390
    Репутация
    703
    Теперь туда можно продать имплантат. Или мост
    "А если найду?.." (c)

  5. Вверх #25525
    Постоялец форума Аватар для Skydoc
    Пол
    Женский
    Сообщений
    2,762
    Репутация
    3376
    Ой-ой
    А у меня такое расстройство недели - тоже под импланты в далеком будующем....Нажмите на изображение для увеличения
Название: IMAG1937_1.jpg
Просмотров: 46
Размер:	58.5 Кб
ID:	10610708
    - Ты сильная! Ты справишься!...
    - Я умная! Я даже не возьмусь! :-)

  6. Вверх #25526
    Постоялец форума Аватар для Dr. Evil
    Пол
    Мужской
    Сообщений
    1,390
    Репутация
    703
    Цитата Сообщение от Skydoc Посмотреть сообщение
    Ой-ой
    А у меня такое расстройство недели - тоже под импланты в далеком будующем....Вложение 10610708
    Нижний молочный клык пора удалить.
    "А если найду?.." (c)

  7. Вверх #25527
    Постоялец форума Аватар для Skydoc
    Пол
    Женский
    Сообщений
    2,762
    Репутация
    3376
    Ага...и ортодонтам показаться, начать расчитывать место под импланты и планировать улыбку....
    Я вообще ж не детский доктор, у меня под присмотром только пятеро детей друзей-кумовей без особых проблем, так, 1-2 пломбочки, зато из 5 детей у 4х адентия
    - Ты сильная! Ты справишься!...
    - Я умная! Я даже не возьмусь! :-)

  8. Вверх #25528
    Постоялец форума Аватар для Dr. Evil
    Пол
    Мужской
    Сообщений
    1,390
    Репутация
    703
    Цитата Сообщение от Skydoc Посмотреть сообщение
    Ага...и ортодонтам показаться, начать расчитывать место под импланты и планировать улыбку....
    Я вообще ж не детский доктор, у меня под присмотром только пятеро детей друзей-кумовей без особых проблем, так, 1-2 пломбочки, зато из 5 детей у 4х адентия
    Место под импланты есть. Его надо будет удержать. Когда верхние молочные начнут уходить. До этого не мешало бы провести коррекцию положения имеющихся постоянных зубов.
    "А если найду?.." (c)

  9. Вверх #25529
    Живёт на форуме Аватар для Valka
    Пол
    Женский
    Адрес
    Одесса
    Сообщений
    4,772
    Репутация
    3782
    Цитата Сообщение от Дантист Посмотреть сообщение
    Любителям реставраций мертвых зубов посвящается.

    Объясните пожалуйста простыми словами, для человека, не имеющего мед. образования... что это за ужас???
    :)

  10. Вверх #25530
    Зубная Фея Аватар для мамалюся
    Пол
    Женский
    Адрес
    любимый город может спать спокойно
    Возраст
    50
    Сообщений
    8,107
    Репутация
    10365
    это значит довольно большая реставрация на зуб с удаленным нервом, а т.к. все хотят "только не коронку" - то скоро забывают, что нужно беречь такие зубки, и начинают раскусывать раков, орешки.... зуб на такую нагрузку не рассчитан и раскалывается - в данном случае неудачно - это удаление... бывает удачно - не очень глубоко..
    желания исполняются!

  11. Вверх #25531
    Живёт на форуме Аватар для Valka
    Пол
    Женский
    Адрес
    Одесса
    Сообщений
    4,772
    Репутация
    3782
    я уже подумала это так коронка себя ведет... фух, чуть сознание не потеряла... скажите пожалуйста, а под коронкой зуб депульпированый гниет? или то, что осталось от зуба...
    :)

  12. Вверх #25532
    Знатная приколистка
    Аватар для Мистерия
    Пол
    Женский
    Адрес
    Одесса-мама!
    Сообщений
    47,716
    Репутация
    40548
    Цитата Сообщение от Valka Посмотреть сообщение
    я уже подумала это так коронка себя ведет... фух, чуть сознание не потеряла... скажите пожалуйста, а под коронкой зуб депульпированый гниет? или то, что осталось от зуба...
    Нет, а зачем ему это делать? Он себе защищён бронёй со всех сторон......
    Открыта для общения! Кому я нужна - милости прошу в мой профиль. Раиса.

  13. Вверх #25533
    Не покидает форум Аватар для Дантист
    Пол
    Мужской
    Адрес
    Одесса
    Возраст
    42
    Сообщений
    7,069
    Репутация
    2336
    Цитата Сообщение от Valka Посмотреть сообщение
    я уже подумала это так коронка себя ведет... фух, чуть сознание не потеряла... скажите пожалуйста, а под коронкой зуб депульпированый гниет? или то, что осталось от зуба...
    Может сгнить, если коронка не точная, не соблюди протокол фиксации (не высушили перед приклеиванием коронки), или если оставили в накрываемом зубе популяцию злобных микробов (кариес).

  14. Вверх #25534
    Живёт на форуме Аватар для Valka
    Пол
    Женский
    Адрес
    Одесса
    Сообщений
    4,772
    Репутация
    3782
    Спасибо. А сколько может простоять булатная коронка.. по опыту
    :)

  15. Вверх #25535
    Не покидает форум Аватар для Дантист
    Пол
    Мужской
    Адрес
    Одесса
    Возраст
    42
    Сообщений
    7,069
    Репутация
    2336
    Как повезет - может и 30 лет, если "зубы солью чистить".

  16. Вверх #25536
    Не покидает форум Аватар для galya2013
    Пол
    Женский
    Адрес
    Одесса
    Сообщений
    19,103
    Репутация
    26812
    Доктор,вы шутите? 30?!

  17. Вверх #25537
    Не покидает форум Аватар для Дантист
    Пол
    Мужской
    Адрес
    Одесса
    Возраст
    42
    Сообщений
    7,069
    Репутация
    2336
    Подобрать пару кейсов?

  18. Вверх #25538
    Зубная Фея Аватар для мамалюся
    Пол
    Женский
    Адрес
    любимый город может спать спокойно
    Возраст
    50
    Сообщений
    8,107
    Репутация
    10365
    если булатную коронку поставить на относительно здоровый зуб лет эдак в 25-30, то простоит довольно долго, а вот потом, когда человек уже постарше, и зубы уже "не те"...ожидать что будет стоять как в молодости - не стоит.... и потом слышим - был совершенно здоровый зуб, под коронкой стоял 10-20-30 лет... а вы говорите что сейчас нельзя так же сделать??!! стареем мы, к сожалению... и за 30 лет от совершенно здорового зуба часто мало чего остается...
    желания исполняются!

  19. Вверх #25539
    Постоялец форума Аватар для Ded Zlovred
    Пол
    Мужской
    Сообщений
    1,111
    Репутация
    1468
    Цитата Сообщение от Дантист Посмотреть сообщение
    Любителям реставраций мертвых зубов посвящается.
    Скорей, это можно посвятить пациентам, которые "всякую гадость в рот тянут" и потом её грызут.
    Ибо, судя по фото, там слой материала весьма немаленький. И не факт, что в аналогичной ситуации с коронкой человек бы облицовку не сколол.
    Но если он раскалывает правильно выполненную реставрацию вкупе со своим зубом - ну что ж "Шарик, ты - балбес" (с). А вот за скол керамики он весь мозг доктору выест, и будет всю жизнь рассказывать, что ему коронку плохую подсунули...

  20. Вверх #25540
    Не покидает форум Аватар для rakywok
    Пол
    Мужской
    Адрес
    Одесса
    Возраст
    42
    Сообщений
    18,770
    Репутация
    6691
    Добрый вечер, на верхней тройке с внутренней стороны, прямо на самом клыке, от брекетов образовалась выемка, глубиной 1-2 мм. Зубы итак чувствительные, а тут...Какие есть варианты кроме высверлить дупло и поставить пломбу? Пасты для чувствительных зубов не помогают(((
    все, что нужно для торжества зла, это чтобы хорошие люди ничего не делали.


Ответить в теме
Страница 1277 из 2077 ПерваяПервая ... 277 777 1177 1227 1267 1275 1276 1277 1278 1279 1287 1327 1377 1777 ... ПоследняяПоследняя

Метки этой темы

Социальные закладки

Социальные закладки

Ваши права

  • Вы не можете создавать новые темы
  • Вы не можете отвечать в темах
  • Вы не можете прикреплять вложения
  • Вы не можете редактировать свои сообщения