Тема: Стоматология. Зубные вопросы.

Ответить в теме
Страница 1050 из 2068 ПерваяПервая ... 50 550 950 1000 1040 1048 1049 1050 1051 1052 1060 1100 1150 1550 2050 ... ПоследняяПоследняя
Показано с 20,981 по 21,000 из 41345
  1. Вверх #20981
    Не покидает форум Аватар для crazyjune
    Пол
    Женский
    Возраст
    39
    Сообщений
    17,880
    Репутация
    5057
    Нет времени перечитывать тему. Подскажите пожалуйста хорошего стоматолога в поликлинике на Терешковой, номер не помню, на квартале между Варненской и Комарова. Если можно сразу с телефончиком и расценками. Спасибо!


  2. Вверх #20982
    Посетитель Аватар для Tatiana79
    Пол
    Женский
    Сообщений
    442
    Репутация
    173
    Цитата Сообщение от zuborvach Посмотреть сообщение
    если только убрать материал, то однозначно лучше это сделать эндоскопически. Идеально: Запорожченко П.А. "Виртус". ещё можно в госпитале на Пироговской.
    тогда проходит легко и реабилитация не напрягает.
    иначе: расширенная гайморотомия со всеми вытекающими...

    .
    Как определить что только удалить матерриал, что еще может быть, у меня сейчас Одонтогенный гайморит - левосторонний, с той стороны где пломбировочный матерриал.
    иначе: расширенная гайморотомия со всеми вытекающими... эту у кого лучше делать и какие последствия?

  3. Вверх #20983
    Посетитель Аватар для Dr.A.V.
    Пол
    Мужской
    Адрес
    Одесса
    Возраст
    43
    Сообщений
    220
    Репутация
    188
    Цитата Сообщение от rakywok Посмотреть сообщение
    На зуб клеят металлические брекеты, на клей, а резинкой уже дугу к ним. Если зубы кривые, надо на что-то соглашаться, или ровняем и может какой-то вред нанесём или ходим с кривыми. У меня под клеем ничего не портилось, главное потом полностью снять клей, а вот повреждается ли эмаль при снятии этого клея, вопрос хороший, так как на глаз, наверное сложно увидеть. У меня например чуть клея осталось и потом просил доубрать его, а могут же и сразу убрать, и зацепить чуть эмали. Но я не стоматолог. Как тут часто пишут, надо доверять своему стоматологу, в частности ортодонту)))
    Эмаль таки слегка повреждается, (очагово деминирализуется) в процессе закрепления элементов брекет системы к поверхности зубов-протравливается с помощью специального геля, для лучшей фиксации к гладкой поверхности.

  4. Вверх #20984
    Частый гость Аватар для Brecket
    Пол
    Мужской
    Сообщений
    869
    Репутация
    718
    Цитата Сообщение от Dr.A.V. Посмотреть сообщение
    Эмаль таки слегка повреждается
    Не слегка, а очень сильно, при неадекватной гигиене... чаще у подростков 11 - 14 лет

    Цитата Сообщение от Dr.A.V. Посмотреть сообщение
    в процессе закрепления элементов брекет системы к поверхности зубов-протравливается с помощью специального геля, для лучшей фиксации к гладкой поверхности.
    Точно такого же, который используется при постановке пломб из композитного материала

  5. Вверх #20985
    Посетитель Аватар для Dr.A.V.
    Пол
    Мужской
    Адрес
    Одесса
    Возраст
    43
    Сообщений
    220
    Репутация
    188
    Цитата Сообщение от Brecket Посмотреть сообщение
    Не слегка, а очень сильно, при неадекватной гигиене... чаще у подростков 11 - 14 лет

    Точно такого же, который используется при постановке пломб из композитного материала
    Так и есть, мне кажется не специалисту более простым языком понятнее, сама суть не изменна.

  6. Вверх #20986
    Мисс Одесский Форум
    Аватар для айка
    Пол
    Женский
    Адрес
    Одесса
    Сообщений
    9,414
    Репутация
    9234
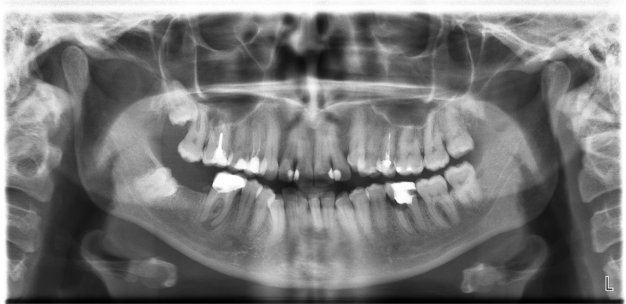
    Вложение 8684927Хотела мнение коллег услышать по наличию проблем, как мне показалось( может показалось), пациент думает, что проблемы минимальные, а я запугиваю. Разрешение на вывешивание снимка получено.
    стомАТОлог

  7. Вверх #20987
    Мисс Одесский Форум
    Аватар для айка
    Пол
    Женский
    Адрес
    Одесса
    Сообщений
    9,414
    Репутация
    9234
    Люди, снимок видно?
    стомАТОлог

  8. Вверх #20988
    Посетитель Аватар для Dr.A.V.
    Пол
    Мужской
    Адрес
    Одесса
    Возраст
    43
    Сообщений
    220
    Репутация
    188
    Неа, не видно.

  9. Вверх #20989
    Мисс Одесский Форум
    Аватар для айка
    Пол
    Женский
    Адрес
    Одесса
    Сообщений
    9,414
    Репутация
    9234
    Цитата Сообщение от Dr.A.V. Посмотреть сообщение
    Неа, не видно.

    Вот так с моим компом, когда решу тех.проблему, еще раз обращусь.
    стомАТОлог

  10. Вверх #20990
    Мисс Одесский Форум
    Аватар для айка
    Пол
    Женский
    Адрес
    Одесса
    Сообщений
    9,414
    Репутация
    9234
    Нажмите на изображение для увеличения
Название: Мартынова Ю.В._ОП&.jpg
Просмотров: 46
Размер:	100.2 Кб
ID:	8685178
    А так, блин
    стомАТОлог

  11. Вверх #20991
    Зубная Фея Аватар для мамалюся
    Пол
    Женский
    Адрес
    любимый город может спать спокойно
    Возраст
    50
    Сообщений
    8,107
    Репутация
    10365
    все грустно...шестерки нижние удаляем... центральные резцы низ - как-то грустно тоже.... зря человек спокойно живет... пора давно бить в бубны.... жевательных мало.... (конечно бывает и хуже....но тут реально грусть-тоска)... визуально - покой - на самом деле - бомба замедленного действия...
    желания исполняются!

  12. Вверх #20992
    Посетитель Аватар для Dr.A.V.
    Пол
    Мужской
    Адрес
    Одесса
    Возраст
    43
    Сообщений
    220
    Репутация
    188
    На первый взгляд: 6 слева внизу и 8 справа вверху на удаление, за правую шестерку думаю стоит побороться, левая верхняя 5-ка- нужна повторная эндодондия, скученность, дистопия в фронтальной группе зубов- не помешала бы помощь ортодонта.

  13. Вверх #20993
    Знатная приколистка
    Аватар для Мистерия
    Пол
    Женский
    Адрес
    Одесса-мама!
    Сообщений
    47,716
    Репутация
    40548
    Айка, снимок видно.
    Нажимаешь на ссылку - и всё открывается.
    Открыта для общения! Кому я нужна - милости прошу в мой профиль. Раиса.

  14. Вверх #20994
    Не покидает форум Аватар для victor_im
    Пол
    Мужской
    Адрес
    Krakow
    Сообщений
    9,229
    Репутация
    4657
    Цитата Сообщение от Dr.A.V. Посмотреть сообщение
    На первый взгляд: 6 слева внизу и 8 справа вверху на удаление, за правую шестерку думаю стоит побороться, левая верхняя 5-ка- нужна повторная эндодондия, скученность, дистопия в фронтальной группе зубов- не помешала бы помощь ортодонта.
    а почему стоматологи вечно предлагают что-то удалить? пациентов не хватает?
    у меня при очередном "профосмотре" нашли кисту и фрагмент удаленного зуба под десной (не связанное друг с другом)
    и то и то два врача которые видели снимок сказали удалять но меня оно не беспокоит, не болит, и живу я с этим уже много-много лет, и если бы не рентген то вообще бы не подозревал что оно там есть
    если в башне дребедень....

  15. Вверх #20995
    Мисс Одесский Форум
    Аватар для айка
    Пол
    Женский
    Адрес
    Одесса
    Сообщений
    9,414
    Репутация
    9234
    Виктор, потому что врачи знают, как внезапно наступают осложнения, начиная с бега по вертикальным поверхностям от боли и до медиастинита, диапазона хватит на любой вкус и иммунитет. Да и постоянный очаг нехилой по агрессивности инфекции в организме - тоже не фунт изюма. Врач обязан вам предложить метод лечения, а ваши дальнейшие действия - только под вашу ответственность.
    И я не думаю, что ваших денег не хватало врачу на последнюю модель бентли или еще какой хрени.
    стомАТОлог

  16. Вверх #20996
    Зубная Фея Аватар для мамалюся
    Пол
    Женский
    Адрес
    любимый город может спать спокойно
    Возраст
    50
    Сообщений
    8,107
    Репутация
    10365
    Цитата Сообщение от victor_im Посмотреть сообщение
    а почему стоматологи вечно предлагают что-то удалить? пациентов не хватает?
    у меня при очередном "профосмотре" нашли кисту и фрагмент удаленного зуба под десной (не связанное друг с другом)
    и то и то два врача которые видели снимок сказали удалять но меня оно не беспокоит, не болит, и живу я с этим уже много-много лет, и если бы не рентген то вообще бы не подозревал что оно там есть
    из опыта.... была маленькая киста, никого не трогала... ну периодически горошинка выскакивала воспаленная на десне... прошло 4 года... особо ниего не беспокоит, но киста уже как вишенка, прямо в ней корни двух зубов... небо мягкое, т.е. просто дырка в кости, зубки стали шататься...и не факт что радикальное лечение сможет спасти два зуба... а жааалко....

    просто мы иногда наблюдаем ситуации "в процессе"...с чего начинается и чем заканчивается....
    желания исполняются!

  17. Вверх #20997
    Постоялец форума Аватар для zuborvach
    Пол
    Мужской
    Адрес
    Одесса
    Возраст
    53
    Сообщений
    1,872
    Репутация
    1302
    Цитата Сообщение от айка Посмотреть сообщение
    А так, блин
    так видно.
    я так думаю. то что видно.
    самая печаль - 16. небольшие шансы на ретрит. хирургически спасать нет - альтернатива удаление.
    14 - ревизия каналов обязательна.
    36 - при возможности качественного пломбирования дист корня можно предложить гемисекцию.
    46 - шансы на ретрит невелики, но если возможно то наверное надо. резекция возможна.

    Пациентка допускает мысль-возможность имплантации?
    если да, то никаких спасательных операций.
    "жрать" надо по показаниям! (с.)

  18. Вверх #20998
    Постоялец форума Аватар для Велогонщик
    Пол
    Мужской
    Сообщений
    1,007
    Репутация
    208
    Ребята подскажите граммотного пародонтолога в горстомат поликлинике №3 на Люст. дороге. Спасибо заранее.

  19. Вверх #20999
    Не покидает форум Аватар для victor_im
    Пол
    Мужской
    Адрес
    Krakow
    Сообщений
    9,229
    Репутация
    4657
    Цитата Сообщение от мамалюся Посмотреть сообщение
    из опыта.... была маленькая киста, никого не трогала... ну периодически горошинка выскакивала воспаленная на десне... прошло 4 года...
    у меня не было никаких горошинок , никаких болей в указанной области, и я бы вообще не знал что она там есть если бы случайно не рентген по совсем другому поводу. я считаю лишние хирургические вмешательства - не шибко полезны (а удаление кисты это именно хирургическое вмешательство - анестезия, разрез десны, швы, потенциальное попадание инфекции после, т.е. добавляет больше рисков осложнений чем если бы ничего не трогали)

    возможно я не прав.
    слышал некоторые люди даже сознательно удаляют аппендикс без медицинских показаний, если им предстоит надолго отправиться в регион без квалифицированной медицинской помощи
    Последний раз редактировалось victor_im; 12.09.2014 в 15:02.
    если в башне дребедень....

  20. Вверх #21000
    Новичок Аватар для Bileckih
    Пол
    Женский
    Адрес
    Одесса
    Возраст
    38
    Сообщений
    24
    Репутация
    16
    Подскажите пожалуйста хорошего стоматолога в поликлинике №5 на поселке Котовского, очень нужно!


Ответить в теме
Страница 1050 из 2068 ПерваяПервая ... 50 550 950 1000 1040 1048 1049 1050 1051 1052 1060 1100 1150 1550 2050 ... ПоследняяПоследняя

Метки этой темы

Социальные закладки

Социальные закладки

Ваши права

  • Вы не можете создавать новые темы
  • Вы не можете отвечать в темах
  • Вы не можете прикреплять вложения
  • Вы не можете редактировать свои сообщения