Тема: Стоматология. Зубные вопросы.

Ответить в теме
Страница 656 из 2064 ПерваяПервая ... 156 556 606 646 654 655 656 657 658 666 706 756 1156 1656 ... ПоследняяПоследняя
Показано с 13,101 по 13,120 из 41272
  1. Вверх #13101
    Не покидает форум Аватар для ДЕЗДЕЧАДО
    Пол
    Женский
    Адрес
    ИЛьичевск
    Возраст
    47
    Сообщений
    8,511
    Репутация
    5846
    Цитата Сообщение от zuborvach Посмотреть сообщение
    ну не скажи...
    лечение пародонтита вполне изучено и проработано.
    да.точго.согласна.экстракция.....и мы счастливы!
    НАстроение-жуть!!!Вокруг-никого!!!.....Эх,.....такой скандал пропадает!))


  2. Вверх #13102
    Постоялец форума Аватар для zuborvach
    Пол
    Мужской
    Адрес
    Одесса
    Возраст
    53
    Сообщений
    1,872
    Репутация
    1302
    Цитата Сообщение от ДЕЗДЕЧАДО Посмотреть сообщение
    да.точго.согласна.экстракция.....и мы счастливы!
    нууу.... в основном да.
    а просто потому что:
    - лечение эффективно на ранних стадиях, а когда приходят пациенты?
    - лечение эффетивно только комплексное (длительное, многокомпонентное)
    - лечение эффективно только при соблюдении супер гигиены и отказа от вредных привычек.
    - эффект лечения не возврат кости на уровень юношества, а стабилизация состояния и недопущение прогресса болезни.
    - ...
    вот. короче посещений (возни) много, а толку мало.
    зы. лично я пародонтит самостоятельно не лечу.
    "жрать" надо по показаниям! (с.)

  3. Вверх #13103
    Частый гость Аватар для Натали1209
    Пол
    Женский
    Сообщений
    796
    Репутация
    524
    Цитата Сообщение от Натали1209 Посмотреть сообщение
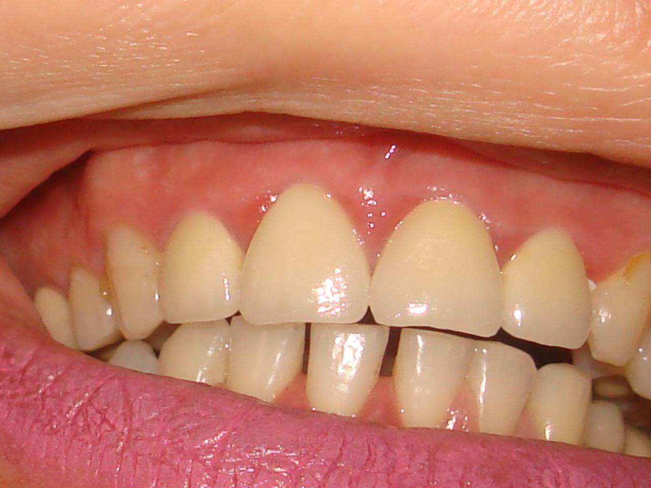
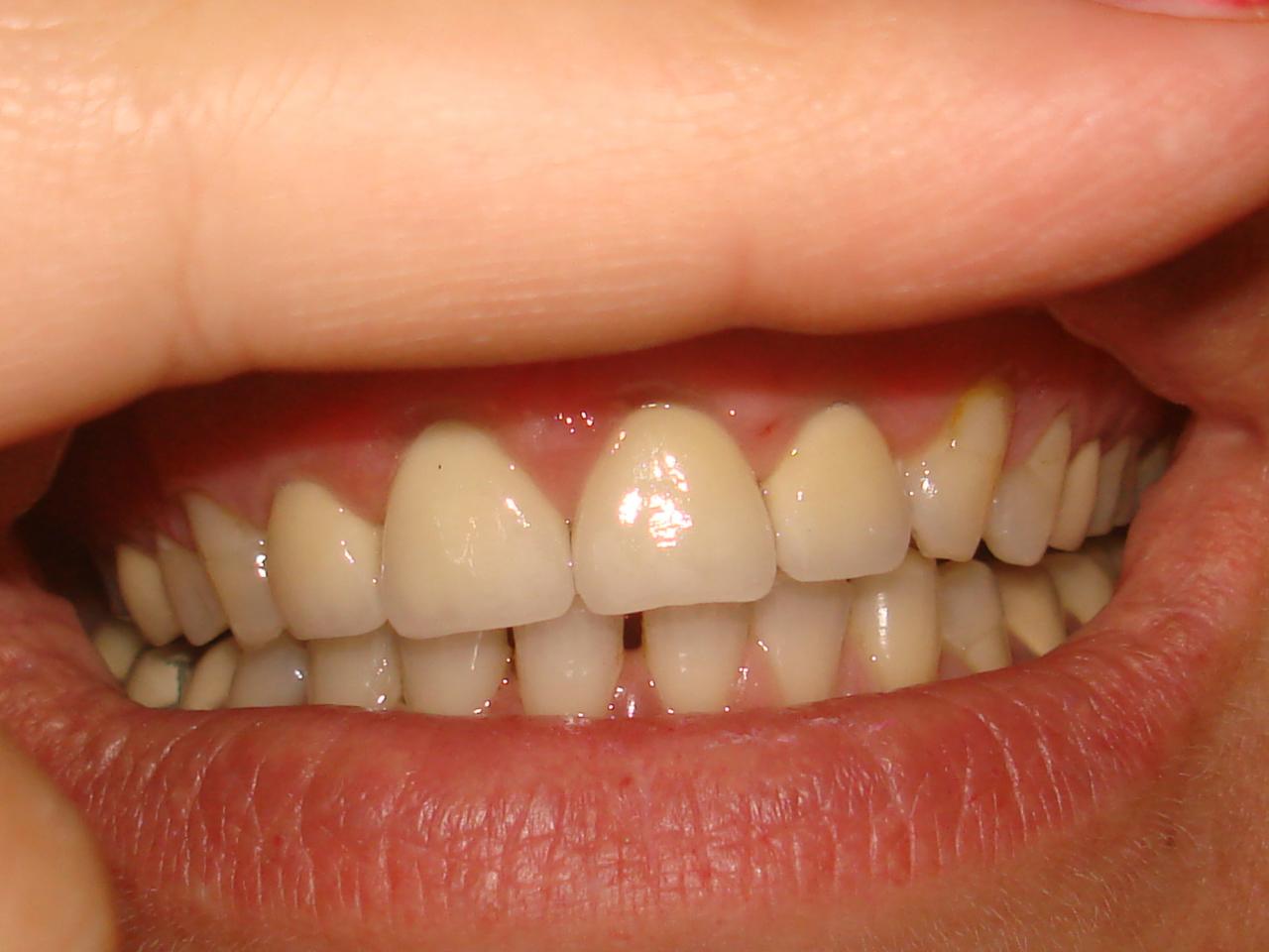
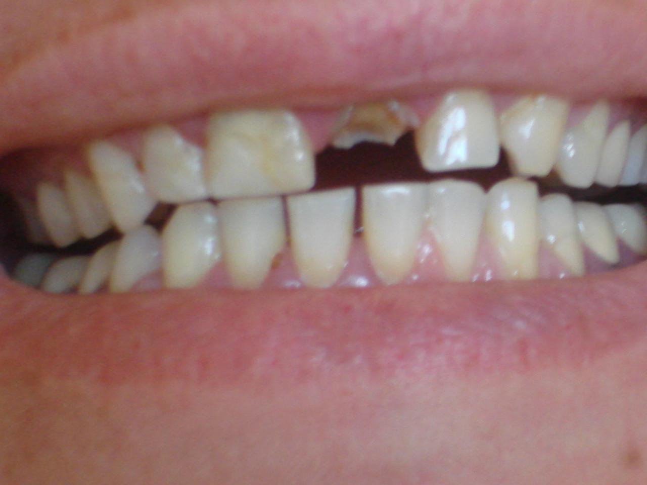
    Не постесняюсь, расскажу, что происходит у меня. В субботу полностью сломался первый верхний зуб, осталось от него только то, что в десне, 6 лет назад был пульпит, пришлось удалять нерв, потом еще за 6 лет 2 раза пломбировали его, но.... вот пришел его конец. Нет худа без добра, несколько лет хотела сделать металлокерам. мостик на 4 верхних передних зуба, и вот, наконец-то, благодаря поломке занялась этим. Вот сейчас в процессе. А вот и он, виновник моих мучений - Вложение 4525189Вложение 4525190 если интересно, покажу результат по окончании лечения. Надеюсь, он меня порадует
    Нажмите на изображение для увеличения
Название: 002.jpg
Просмотров: 13
Размер:	72.8 Кб
ID:	4560856Нажмите на изображение для увеличения
Название: 005.jpg
Просмотров: 13
Размер:	65.5 Кб
ID:	4560865
    Теперь могу похвастаться красивыми зубами!!! Получилось даже лучше, чем я это себе представляла! Как мои родные(по цвету, виду), но красивее и чуть больше тех, что были!!!! УРА!Нажмите на изображение для увеличения
Название: DSC02353.jpg
Просмотров: 13
Размер:	79.9 Кб
ID:	4560834Нажмите на изображение для увеличения
Название: DSC02343.jpg
Просмотров: 13
Размер:	61.8 Кб
ID:	4560833Нажмите на изображение для увеличения
Название: DSC02386.jpg
Просмотров: 15
Размер:	89.5 Кб
ID:	4560835Нажмите на изображение для увеличения
Название: DSC02387.jpg
Просмотров: 54
Размер:	99.1 Кб
ID:	4560832

  4. Вверх #13104
    User banned
    Пол
    Мужской
    Адрес
    Одесса
    Сообщений
    3,437
    Репутация
    1783
    Цитата Сообщение от annaP Посмотреть сообщение
    ...(в нете пишут что в сша их успешно лечат приемом антибиотиков без операции )
    Не особо показательный пример.
    В сша даже насморк у трёхлетнего ребёнка лечат антибиотиками.

  5. Вверх #13105
    Посетитель
    Пол
    Женский
    Сообщений
    356
    Репутация
    188
    Нажмите на изображение для увеличения
Название: zuby.jpg
Просмотров: 19
Размер:	39.4 Кб
ID:	4562392

    ну вот ,Айка,выкладываю фото,надеюсь меня после этого не будут узнавать на улицах)....судя по ответам уважаемых форумчан на мой вопрос в одессе парадонтологов нет,и шансов у меня тоже

  6. Вверх #13106
    Посетитель
    Пол
    Женский
    Сообщений
    356
    Репутация
    188
    Цитата Сообщение от zuborvach Посмотреть сообщение
    нууу....короче посещений (возни) много, а толку мало.
    зы. лично я пародонтит самостоятельно не лечу.
    пять баллов- в интернете можно быть искренним- то же самое мне сказал мой лечащий врач

  7. Вверх #13107
    Новичок Аватар для jasun
    Пол
    Женский
    Сообщений
    21
    Репутация
    14
    Подскажите хорошего стоматолога на Поселке Котовского?

  8. Вверх #13108
    Постоялец форума Аватар для zuborvach
    Пол
    Мужской
    Адрес
    Одесса
    Возраст
    53
    Сообщений
    1,872
    Репутация
    1302
    Цитата Сообщение от annaP Посмотреть сообщение
    .судя по ответам уважаемых форумчан на мой вопрос в одессе парадонтологов нет,и шансов у меня тоже
    та все есть в Одессе, вон в ИС АМНУ целый отдел пародонтологии... вумные люди там сидят-работают.
    скажите, а лет Вам сколько?
    проявились ли уже проблемы с височно-нижнечелюстным суставом (особенно слева)?
    ситуация в целом не особо критичная. и это конечно же не пародонтоз, а пародонтит, причем даже не генерализованный.
    "жрать" надо по показаниям! (с.)

  9. Вверх #13109
    Золотые ручки

    Аватар для bubosik
    Пол
    Женский
    Адрес
    Odessa, Ukraine
    Сообщений
    43,615
    Репутация
    19799
    вопрос к Натали1209

    А подскажите где делали. Очень интересно-тем более вы довольны и красиво

    вопрос к остальынм знающим
    и подскажите пожалуйста порядок цен на пломбирование 1/3 переднего зуба-так чтоб красиво
    Последний раз редактировалось bubosik; 20.07.2012 в 10:24.

  10. Вверх #13110
    Посетитель
    Пол
    Женский
    Сообщений
    356
    Репутация
    188
    33
    проблем я не замечала

  11. Вверх #13111
    Новичок
    Пол
    Женский
    Сообщений
    4
    Репутация
    12
    Подскажите. Воспалился десневой сосочек (7 дней уже) после пломбировки зуба. Стоматолог назначил полоскание сода+соль+йод (7 дней состояние улучшилось, но не 100%), теперь назначил офлокоин. мазь на 5 дней. Не пройдет будут удалять нерв зуба. Может у кого есть опыт избавления от этого несчастья?

  12. Вверх #13112
    Мисс Одесский Форум
    Аватар для айка
    Пол
    Женский
    Адрес
    Одесса
    Сообщений
    9,414
    Репутация
    9234
    Цитата Сообщение от оксана090 Посмотреть сообщение
    Подскажите. Воспалился десневой сосочек (7 дней уже) после пломбировки зуба. Стоматолог назначил полоскание сода+соль+йод (7 дней состояние улучшилось, но не 100%), теперь назначил офлокоин. мазь на 5 дней. Не пройдет будут удалять нерв зуба. Может у кого есть опыт избавления от этого несчастья?
    А при чем тут нерв к десневому сосочку? После постановки пломбы, которая очень близко к десне может десн.сосочек быть болезненным или покрасневшим, но это на часы, а не дни. Смысла в солевом полоскании вообще не вижу. Может вы что-то не так поняли?
    стомАТОлог

  13. Вверх #13113
    Новичок
    Пол
    Женский
    Сообщений
    4
    Репутация
    12
    была у двоих стоматологов - оба сказали воспаления деснев. сосочка и удаления нерва! а что вы посоветуете? Ренген показал - все в порядке. Боли как буд-то иголкой прокалывают, иногда при накусывании , а иногда просто так! Что вы думаете, что делать?

  14. Вверх #13114
    Зубная Фея Аватар для мамалюся
    Пол
    Женский
    Адрес
    любимый город может спать спокойно
    Возраст
    49
    Сообщений
    8,107
    Репутация
    10365
    Цитата Сообщение от оксана090 Посмотреть сообщение
    была у двоих стоматологов - оба сказали воспаления деснев. сосочка и удаления нерва! а что вы посоветуете? Ренген показал - все в порядке. Боли как буд-то иголкой прокалывают, иногда при накусывании , а иногда просто так! Что вы думаете, что делать?
    можно попробовать снять спец. составами чувствительность и пришлифовать пломбу - убрать нависающий край - чаще всего именно такая проблема... иногда приходится переделать пломбу... удаление нерва - радикальное решение и сосочку наверняка не поможет....
    желания исполняются!

  15. Вверх #13115
    Мисс Одесский Форум
    Аватар для айка
    Пол
    Женский
    Адрес
    Одесса
    Сообщений
    9,414
    Репутация
    9234
    Цитата Сообщение от оксана090 Посмотреть сообщение
    была у двоих стоматологов - оба сказали воспаления деснев. сосочка и удаления нерва! а что вы посоветуете? Ренген показал - все в порядке. Боли как буд-то иголкой прокалывают, иногда при накусывании , а иногда просто так! Что вы думаете, что делать?
    Я не знаю шо делать, я вас не вижу, но думаю, что нужно ещё кому-то показаться. У меня состояние зубодесневого сосочка и пульпы как-то не коррелируют. Сходите в "загул" по нескольким докторам.
    стомАТОлог

  16. Вверх #13116
    Новичок
    Пол
    Женский
    Сообщений
    69
    Репутация
    42
    Скажите пожалуйста кто-то делал адгезивное протезирование одного зуба (еще называют мерилендский мост). Суть состоит в том, что соседние зубы не обтачиваются, а в них делается углубление, куда потом вставляются как балки и сверху покрывается пломбой. На долго ли хатает? Соседние узы действительно не портятся? Где можно сделать в Одессе?

  17. Вверх #13117
    Мисс Одесский Форум
    Аватар для айка
    Пол
    Женский
    Адрес
    Одесса
    Сообщений
    9,414
    Репутация
    9234
    Я такое делала, Срок наблюдения был 2 года, за 2 года ничего не произошло плохого. Соседние зубы не портятся.
    Другое дело, что смысл делать такую работу, её можно расценивать только как временное протезирование. Если не хотите сильно обтачивать зубы - сделайте себе безметал.керамику.
    стомАТОлог

  18. Вверх #13118
    Частый гость Аватар для Vitally
    Пол
    Женский
    Адрес
    ОДЕССА
    Сообщений
    806
    Репутация
    554
    Товарищи))) От чего может болеть запломбированный зуб при том что, каналы почистили и нервы удалили?? А он зараза болит(((
    Мама двух любимчиков! *Дарите людям добро*

  19. Вверх #13119
    Посетитель Аватар для Se.Lena
    Пол
    Женский
    Адрес
    Одесса
    Возраст
    41
    Сообщений
    193
    Репутация
    83
    Цитата Сообщение от Vitally Посмотреть сообщение
    Товарищи))) От чего может болеть запломбированный зуб при том что, каналы почистили и нервы удалили?? А он зараза болит(((
    Что бы ответить вам, надо увидеть снимок, узнать причину по которой зуб лечился, характер боли и т.д. так как причин от которых он может болеть много. Спрашивайте у доктора который его лечил
    C'est la vie ...

  20. Вверх #13120
    Постоялец форума Аватар для Skydoc
    Пол
    Женский
    Сообщений
    2,762
    Репутация
    3359
    Еще неплохо было бы знать, как давно зуб лечился... и снимок нужен...
    - Ты сильная! Ты справишься!...
    - Я умная! Я даже не возьмусь! :-)


Ответить в теме
Страница 656 из 2064 ПерваяПервая ... 156 556 606 646 654 655 656 657 658 666 706 756 1156 1656 ... ПоследняяПоследняя

Метки этой темы

Социальные закладки

Социальные закладки

Ваши права

  • Вы не можете создавать новые темы
  • Вы не можете отвечать в темах
  • Вы не можете прикреплять вложения
  • Вы не можете редактировать свои сообщения