Тема: Ветеринары, услуги и все об этом

Ответить в теме
Страница 285 из 986 ПерваяПервая ... 185 235 275 283 284 285 286 287 295 335 385 785 ... ПоследняяПоследняя
Показано с 5,681 по 5,700 из 19711
  1. Вверх #5681
    Посетитель
    Пол
    Мужской
    Возраст
    40
    Сообщений
    114
    Репутация
    39
    Цитата Сообщение от Это я Посмотреть сообщение
    А вы не думаете,что у человека,например,нет шнура,нет сейчас времени,телефон без камеры,в конце концов.Сказали что снимок будет завтра-потерпите.Как ты там говоришь-не гони лошадей?
    я не просил сию минуту,просто подсказал как это можно сделать.


  2. Вверх #5682
    Посетитель Аватар для Ganzelita
    Пол
    Женский
    Адрес
    Одесса
    Возраст
    41
    Сообщений
    254
    Репутация
    184
    О том, что перелома не было и нет, подтвердил и сам ветеринар, к которому я успела заехать после рентгена сегодня вечером.
    Цитата Сообщение от Это я Посмотреть сообщение
    Когда-ночью?Снимок сделали сегодня вечером.Давайте сейчас устроим форумовку и с лозунгами и транспорантами двинемся в ближайшую ночную ветклинику расшифровывать снимок!
    ОДЕСА - УКРАЇНА!

  3. Вверх #5683
    Не покидает форум Аватар для Это я
    Пол
    Женский
    Адрес
    Одесса
    Возраст
    54
    Сообщений
    19,744
    Репутация
    8818
    Цитата Сообщение от EvGENIY85 Посмотреть сообщение
    а где сам снимок????а то тут разорялись про факты,и в итоге приплыли(в 2х проекциях обязательно!)не гоните лошадей! Тррррр!!!!)))))
    Цитата Сообщение от EvGENIY85 Посмотреть сообщение
    я думаю что сфотать на фотокамеру телефона вполне достаточно.очень не плохие снимки получаются))))
    Цитата Сообщение от EvGENIY85 Посмотреть сообщение
    на 99.9% с вами согласен.,но покажите вет специалисту,расставите уже все точки.
    Цитата Сообщение от EvGENIY85 Посмотреть сообщение
    я не просил сию минуту,просто подсказал как это можно сделать.
    Как-то ваши сообщения о другом говорят.

  4. Вверх #5684
    Новичок
    Пол
    Мужской
    Возраст
    49
    Сообщений
    61
    Репутация
    50
    Совершенно не хочу конфликтовать, можно попросить фотку котенка и рентген. Не верится, что можно перепутать перелом с чем-то......другим
    Последний раз редактировалось Harly; 10.11.2011 в 11:37.

  5. Вверх #5685
    Новичок Аватар для rafaell
    Пол
    Мужской
    Возраст
    48
    Сообщений
    10
    Репутация
    14
    Ну вот и прясняется ситуация, а Оксана и защитники куда-то испарились. Выходит такое лечение не альтруизм и любовь к животным, а медвежья услуга котенку. Возможно в другой клинике и помогли бы также бесплатно, и более квалифицировано.

  6. Вверх #5686
    Посетитель Аватар для Ganzelita
    Пол
    Женский
    Адрес
    Одесса
    Возраст
    41
    Сообщений
    254
    Репутация
    184

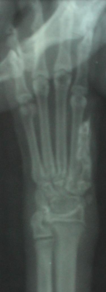
    По умолчанию рентген передней лапки котёнка

    Нажмите на изображение для увеличения
Название: IMG_2507ск.jpg
Просмотров: 89
Размер:	22.9 Кб
ID:	3353070Нажмите на изображение для увеличения
Название: IMG_2503ск.jpg
Просмотров: 92
Размер:	22.2 Кб
ID:	3353072 и никаких раздробленных костей не видно, как утверждал врач из Амулета.
    ОДЕСА - УКРАЇНА!

  7. Вверх #5687
    Не покидает форум Аватар для Это я
    Пол
    Женский
    Адрес
    Одесса
    Возраст
    54
    Сообщений
    19,744
    Репутация
    8818
    Ganzelita,Вы молодец,что довели это до конца(до рентгена,я имею ввиду).

  8. Вверх #5688
    Не покидает форум Аватар для Nickolette
    Пол
    Женский
    Сообщений
    9,908
    Репутация
    3238
    Теперь интересно мнение ветеринаров услышать)

  9. Вверх #5689
    Не покидает форум Аватар для Это я
    Пол
    Женский
    Адрес
    Одесса
    Возраст
    54
    Сообщений
    19,744
    Репутация
    8818
    Цитата Сообщение от Nickolette Посмотреть сообщение
    Теперь интересно мнение ветеринаров услышать)
    И тишина...Будем надеяться,что просто на работе ещё все...

  10. Вверх #5690
    Посетитель Аватар для ^^^SHADOW^^^
    Пол
    Женский
    Адрес
    Одесса
    Сообщений
    128
    Репутация
    30
    Цитата Сообщение от Ganzelita Посмотреть сообщение
    Вложение 3353070Вложение 3353072 и никаких раздробленных костей не видно, как утверждал врач из Амулета.
    это котёнок гигант просто)) кости похлеще взрослого кота будут))

  11. Вверх #5691
    Не покидает форум Аватар для Это я
    Пол
    Женский
    Адрес
    Одесса
    Возраст
    54
    Сообщений
    19,744
    Репутация
    8818
    Цитата Сообщение от ^^^SHADOW^^^ Посмотреть сообщение
    это котёнок гигант просто)) кости похлеще взрослого кота будут))
    Ну давайте разовьём теперь тему,что это рентген не того котёнка,а совсем другого взрослого кота))

  12. Вверх #5692
    Посетитель Аватар для Ganzelita
    Пол
    Женский
    Адрес
    Одесса
    Возраст
    41
    Сообщений
    254
    Репутация
    184
    вот и не лень вам писать всякую чушь... специально увеличила снимок, чтоб лучше было видно... специалистам (если тут они вообще есть), а ни тем, кому что-то кааажется... SHADOW (она же ТЕНЬ), вам в другую тему... https://forumodua.com/showthread.php?t=5412
    Цитата Сообщение от ^^^SHADOW^^^ Посмотреть сообщение
    это котёнок гигант просто)) кости похлеще взрослого кота будут))
    Последний раз редактировалось Ganzelita; 11.11.2011 в 00:29.
    ОДЕСА - УКРАЇНА!

  13. Вверх #5693
    Не покидает форум Аватар для Это я
    Пол
    Женский
    Адрес
    Одесса
    Возраст
    54
    Сообщений
    19,744
    Репутация
    8818
    Цитата Сообщение от Ganzelita Посмотреть сообщение
    вот и не лень вам писать всякую чушь... специально увеличила снимок, чтоб лучше было видно... специалистам (если тут они вообще есть), а ни тем, кому что-то кааажется...
    Не,специалистов тут пока нет.И что-то мне подсказывает,что врядли они тут появяться(во всяком случае те,которых мы ждём).

  14. Вверх #5694
    Посетитель Аватар для ^^^SHADOW^^^
    Пол
    Женский
    Адрес
    Одесса
    Сообщений
    128
    Репутация
    30
    а что тут ещё писать??))) везде чушь сплошная))
    а снимок нормальный как и лапа котёнка))

  15. Вверх #5695
    Новичок
    Пол
    Женский
    Адрес
    Одесса
    Возраст
    42
    Сообщений
    59
    Репутация
    22
    Цитата Сообщение от Ganzelita Посмотреть сообщение
    Вложение 3353070Вложение 3353072 и никаких раздробленных костей не видно, как утверждал врач из Амулета.
    Вот не задача не продумала такой пустяк... лапка у котенка на снимке то левая, а повреждена то правая...! Хотя тем кто не видел котенка можно же лапшу на уши намотать... да?
    Снимки с каким то разным оттенком один черно-белый и четкий а второй мутновато-непонятного цвета.
    И еще либо эта фотка через фотошоп прошла либо делался снимок на цифровом рентгене, которого явно нету на Заболотного, там еще старая аппаратура и лаборатория где пленки проявляют.
    И для справедливости снимки надо было в оригинале выкладывать размер 1:1, а мы там сами уже найдем способ увеличить чтобы рассмотреть все.
    Здается мне что это все липа!
    Последний раз редактировалось Lillo; 10.11.2011 в 19:02.

  16. Вверх #5696
    Новичок
    Пол
    Женский
    Адрес
    Одесса
    Возраст
    42
    Сообщений
    59
    Репутация
    22
    Цитата Сообщение от Harly Посмотреть сообщение
    Совершенно не хочу конфликтовать, можно попросить фотку котенка и рентген. Не верится, что можно перепутать перелом с чем-то......другим
    Совершенно согласна, фотку котенка с РАЗБИНТОВАНОЙ лапой на которой рана или следы недавно зажившей раны

  17. Вверх #5697
    User banned
    Пол
    Женский
    Адрес
    Одесса-мама
    Сообщений
    14,526
    Репутация
    4774
    а у меня только одна мысль счас... бедный котёнок...((((((((((
    (не удивлюсь если тут вскрытия потребуют... во что бы тут не стало...)

  18. Вверх #5698
    Новичок
    Пол
    Женский
    Адрес
    Одесса
    Возраст
    42
    Сообщений
    59
    Репутация
    22
    Цитата Сообщение от мишель платини Посмотреть сообщение
    а у меня только одна мысль счас... бедный котёнок...((((((((((
    (не удивлюсь если тут вскрытия потребуют... во что бы тут не стало...)
    Котенок то может и бедный, но я не могу понять зачем нагло врать на форуме, приводить какие то факты непонятные которые не стыкуются с тем что есть на самом деле, и самое главное ЗАЧЕМ?????????? В клинике котенку оказали помощь за спасибо, и это вместо того чтобы публично на форуме поблагодарить, так тут детективное расследование развелось.... Зачем наливать грязь на врачей которые котенку помогали и копейки не взяли? Очень обидно и печально что люди просто сволочные стали.
    Просто очень давно у меня палец большой на руке после травмы гнил, загноилась кость в общем история длинная, но одно могу сказать за 6 месяцев что у меня эпопея с пальцем была мне тонну снимков сделали, поэтому на снимки я насмотрелась достаточно. Эти 2 снимка были сделаны на разных рентген аппаратах, это я могу сказать с полной уверенностью!

  19. Вверх #5699
    Постоялец форума Аватар для Natasha0106
    Пол
    Женский
    Адрес
    Одесса
    Возраст
    42
    Сообщений
    2,541
    Репутация
    1779
    уже целый детектив начинается............. уже снимок отфотошопили, лапку не ту снимали, да и вообще лапа на снимке взрослого кота, а был ли котенок? Бедный масик, главное, чтоб ему лучше стало.

  20. Вверх #5700
    Новичок
    Пол
    Женский
    Адрес
    Одесса
    Возраст
    42
    Сообщений
    59
    Репутация
    22
    Цитата Сообщение от Natasha0106 Посмотреть сообщение
    да и вообще лапа на снимке взрослого кота, а был ли котенок? Бедный масик, главное, чтоб ему лучше стало.

    То что лапа на снимке взрослого кота, а не 3-4 месячного котенка тут я полностью согласна, то что котенок был это факт 100% сама лично видела в клинике, если надо то вспомню дату. С масиком все будет в порядке, ему вовремя помощь оказали
    Последний раз редактировалось Lillo; 10.11.2011 в 19:58.


Ответить в теме
Страница 285 из 986 ПерваяПервая ... 185 235 275 283 284 285 286 287 295 335 385 785 ... ПоследняяПоследняя

Метки этой темы

Социальные закладки

Социальные закладки

Ваши права

  • Вы не можете создавать новые темы
  • Вы не можете отвечать в темах
  • Вы не можете прикреплять вложения
  • Вы не можете редактировать свои сообщения