Тема: Стоматология. Зубные вопросы.

Ответить в теме
Страница 1657 из 2081 ПерваяПервая ... 657 1157 1557 1607 1647 1655 1656 1657 1658 1659 1667 1707 1757 ... ПоследняяПоследняя
Показано с 33,121 по 33,140 из 41611
  1. Вверх #33121
    Новичок Аватар для Marmeladochka
    Пол
    Женский
    Сообщений
    52
    Репутация
    40
    Здравствуйте!!! ... интересуют отзывы о Денталике, буду очень признательна если кто то поделится опытом


  2. Вверх #33122
    Постоялец форума Аватар для Ded Zlovred
    Пол
    Мужской
    Сообщений
    1,111
    Репутация
    1468
    Цитата Сообщение от Marmeladochka Посмотреть сообщение
    Здравствуйте!!! ... интересуют отзывы о Денталике, буду очень признательна если кто то поделится опытом
    Ну вот же, первый пост на этой странице...
    http://forumodua.com/showthread.php?t=16641&p=70160362&viewfull=1#post70160362
    Основное средство сохранности зубов - уважительное отношение к людям

  3. Вверх #33123
    Живёт на форуме Аватар для Zhuzhe4k@
    Пол
    Женский
    Сообщений
    3,803
    Репутация
    2696
    Цитата Сообщение от Крестик Посмотреть сообщение
    подскажите, пжл, ультразвуковая чистка зубов за 800грн. это дорого или нормально? в пол-ке на Мечеикова озвучили такую цену)
    на таирово в моей горячо любимой клинике 600-650-700 грн
    считаю средняя цена по городу и мне было с чем сравнить
    в центре делала ..не скажу где....побили эмаль(

  4. Вверх #33124
    Живёт на форуме Аватар для ♥Sunny♥
    Пол
    Женский
    Адрес
    Одесса
    Возраст
    34
    Сообщений
    3,529
    Репутация
    1776
    Цитата Сообщение от Zhuzhe4k@ Посмотреть сообщение
    на таирово в моей горячо любимой клинике 600-650-700 грн
    считаю средняя цена по городу и мне было с чем сравнить
    в центре делала ..не скажу где....побили эмаль(
    Просто интересно, а что же делали в центре, если вы уже много лет преданы своей горячо любимой клинике?)) И что, неужели вам в Профиденте восстановили эмаль?)))) Если да, то обязательно и себе у них восстановлю, мне тоже надо)

  5. Вверх #33125
    Живёт на форуме Аватар для Zhuzhe4k@
    Пол
    Женский
    Сообщений
    3,803
    Репутация
    2696
    Цитата Сообщение от ♥Sunny♥ Посмотреть сообщение
    Просто интересно, а что же делали в центре, если вы уже много лет преданы своей горячо любимой клинике?)) И что, неужели вам в Профиденте восстановили эмаль?)))) Если да, то обязательно и себе у них восстановлю, мне тоже надо)
    любопытная ты моя))))))живу в центре..я ....вот в чем загвоздка....кататься мне на 13 фонтана...далеко..а тут надо было срочно ...а я недооценивала процедуру...думала какая разница....а вот и на тебе ....век живи..век учись)))

  6. Вверх #33126
    Живёт на форуме Аватар для Zhuzhe4k@
    Пол
    Женский
    Сообщений
    3,803
    Репутация
    2696
    Цитата Сообщение от shaco Посмотреть сообщение
    Приветствую.
    Такой ситуэйшн: человек поехал в командировку - попал к стоматологу, на десне киста. Лечение начали, но не успеют закончить по месту командировки. Порекомендуйте, пожалуйста, специалиста или клинику в Одессе!
    необходимо около 6 процедур
    а как кисту лечат?
    у меня подруги удаляли ее несколько лет..а она образовывалась опять

    как мне кажется надо к Крыклясу или Фаренюку или Бабову показать
    а что там лечить? именно кисту или зуб?

  7. Вверх #33127
    Живёт на форуме Аватар для Zhuzhe4k@
    Пол
    Женский
    Сообщений
    3,803
    Репутация
    2696
    Цитата Сообщение от vozzzdyh Посмотреть сообщение
    Побывала у Вашего коллеги Щербатенко А.В. : вкус у него (ярко-выраженный) к денежкам!!!! Эмпатия в нём не задержалась. А, по-сему, мой вопрос остался нерешённым, увы.
    как вы отличаете истинную эмпатию от ложной?еще и при первом приеме...при консультации..просто интересно уже какого врача вы выберете

  8. Вверх #33128
    Постоялец форума Аватар для Ded Zlovred
    Пол
    Мужской
    Сообщений
    1,111
    Репутация
    1468
    Цитата Сообщение от Zhuzhe4k@ Посмотреть сообщение
    как вы отличаете истинную эмпатию от ложной?еще и при первом приеме...при консультации..просто интересно уже какого врача вы выберете
    Ну, когда заходишь, а там

    то вопросов о природе эмпатии вообще может не возникнуть...
    Основное средство сохранности зубов - уважительное отношение к людям

  9. Вверх #33129
    Постоялец форума Аватар для Ded Zlovred
    Пол
    Мужской
    Сообщений
    1,111
    Репутация
    1468
    Цитата Сообщение от Zhuzhe4k@ Посмотреть сообщение
    ...кататься мне на 13 фонтана...
    Фух... А то я уже переживать начал...
    Цитата Сообщение от Zhuzhe4k@ Посмотреть сообщение
    ...на Таирово в моей горячо любимой клинике...
    Сравнили... х.утор панельный с п.рибрежной зоной...
    Основное средство сохранности зубов - уважительное отношение к людям

  10. Вверх #33130
    Живёт на форуме Аватар для Zhuzhe4k@
    Пол
    Женский
    Сообщений
    3,803
    Репутация
    2696
    Цитата Сообщение от Ded Zlovred Посмотреть сообщение
    Фух... А то я уже переживать начал...

    Сравнили... х.утор панельный с п.рибрежной зоной...
    ))))))))))для меня есть Таирово....центр и Поселок) а если уже углубляться....то и Молдованка и Пересыпь и Бугаевка и Черемушки и Фонтан и Мельницы и ближние и дальние..а слободка еще)))крыжановка...червоний хутор..могу что-то забыть)

  11. Вверх #33131
    Частый гость
    Пол
    Женский
    Сообщений
    683
    Репутация
    425
    Цитата Сообщение от Zhuzhe4k@ Посмотреть сообщение
    как вы отличаете истинную эмпатию от ложной?еще и при первом приеме...при консультации..просто интересно уже какого врача вы выберете
    Каждый входящий должен выложить 1000 грн, не получив при этом реальной помощи. Я побывала во многих достойных стомат. центрах и во многих за консультацию деньги не берут!

  12. Вверх #33132
    Постоялец форума Аватар для Ded Zlovred
    Пол
    Мужской
    Сообщений
    1,111
    Репутация
    1468
    Цитата Сообщение от vozzzdyh Посмотреть сообщение
    Каждый входящий должен выложить 1000 грн, не получив при этом реальной помощи. Я побывала во многих достойных стомат. центрах и во многих за консультацию деньги не берут!
    Прям по классику:
    Оставь (надежду) мне "штуку", всяк сюда входящий...
    Основное средство сохранности зубов - уважительное отношение к людям

  13. Вверх #33133
    Живёт на форуме Аватар для ♥Sunny♥
    Пол
    Женский
    Адрес
    Одесса
    Возраст
    34
    Сообщений
    3,529
    Репутация
    1776
    Цитата Сообщение от Zhuzhe4k@ Посмотреть сообщение
    любопытная ты моя))))))живу в центре..я ....вот в чем загвоздка....кататься мне на 13 фонтана...далеко..а тут надо было срочно ...а я недооценивала процедуру...думала какая разница....а вот и на тебе ....век живи..век учись)))
    ))))) Будешь зато теперь знать, как изменять любимой клинике

    А что бывает, что чистку нужно прям срочно-срочно делать?))

    P.S. Просто любопытно

    P.S.S. Ты же в январе еще на Радужном жила, уже переехала в центр?)
    Последний раз редактировалось ♥Sunny♥; 08.05.2018 в 21:32.

  14. Вверх #33134
    Золотые ручки
    Аватар для Irinqa
    Пол
    Женский
    Адрес
    Одесса
    Сообщений
    2,570
    Репутация
    4868
    Здравствуйте, подскажите по Каппам при бруксизме . С чего начать и к кому обратиться.И сориентируйте по цене .
    район желательно Таирово-Фонтан-Центр. Спасибо
    Можешь принимать таблетки, чтобы принимать меня такой, какая я есть.

  15. Вверх #33135
    Посетитель Аватар для G8
    Пол
    Женский
    Адрес
    Assedo
    Сообщений
    189
    Репутация
    60
    Друзья!
    такой вопрос
    скоро буду устанавливать имплант у Фаренюка О. А.
    Он предлагает MIS или Straumann
    MIS дешевле почти в 2 раза Strauman
    Буду благодарна любому вашему совету

  16. Вверх #33136
    Знатная приколистка
    Аватар для Мистерия
    Пол
    Женский
    Адрес
    Одесса-мама!
    Сообщений
    47,716
    Репутация
    40548
    Цитата Сообщение от vozzzdyh Посмотреть сообщение
    Побывала у Вашего коллеги Щербатенко А.В. : вкус у него (ярко-выраженный) к денежкам!!!! Эмпатия в нём не задержалась. А, по-сему, мой вопрос остался нерешённым, увы.
    А как именно эта эмпатия должна, по-Вашему, проявляться? Стало интересно.
    Открыта для общения! Кому я нужна - милости прошу в мой профиль. Раиса.

  17. Вверх #33137
    Постоялец форума Аватар для Ded Zlovred
    Пол
    Мужской
    Сообщений
    1,111
    Репутация
    1468
    Цитата Сообщение от Мистерия Посмотреть сообщение
    А как именно эта эмпатия должна, по-Вашему, проявляться? Стало интересно.
    Ну уж точно не так...
    youtube.com/watch?v=Ao_fusFlucg
    Деньги надо брать так, чтобы пациент (тем более потенциальный), оставался доволен и безмерно желал приходить к врачу и дальше.
    Основное средство сохранности зубов - уважительное отношение к людям

  18. Вверх #33138
    Постоялец форума
    Пол
    Мужской
    Адрес
    Edmonton
    Возраст
    62
    Сообщений
    2,428
    Репутация
    690
    Цитата Сообщение от vozzzdyh Посмотреть сообщение
    во многих за консультацию деньги не берут!
    А зря не берут! Значит плохо консультируют!
    Позволю себе заметить, что консультация т.е. диагностика, выбор конструкции протеза или ортодонтического аппарата, план лечения, это одни из самых важных составляющих положительного результата лечения. В консультацию входит самое дорогое - мыслительный процесс грамотного специалиста, который опирается на многолетний опыт и знания. Если он конечно грамотный.
    В наших краях консультация эндодонта по поводу одного моляра стоила мне 85 местных $.
    Специалист вроде бы ничего не делал, посмотрел снимок и отказался работать с каналами. Но если бы он туда полез, то зубик бы точно удалили. Это так простой пример.
    Цитата Сообщение от shaco Посмотреть сообщение
    на десне киста.
    Не может быть на десне кисты! Язва может быть, свищевой ход и т.д.
    Киста - это где-то внутри. Если есть свищевой ход - уже не киста.
    Цитата Сообщение от Zhuzhe4k@ Посмотреть сообщение
    а как кисту лечат?
    у меня подруги удаляли ее несколько лет..а она образовывалась опять

    как мне кажется надо к Крыклясу или Фаренюку или Бабову показать
    - Кисту обычно удаляют, иногда вместе с зубом.
    - Плохо удаляли.
    - Поддержу эту мысль. Хороший выбор.
    Последний раз редактировалось VadimIv; 10.05.2018 в 05:48.

  19. Вверх #33139
    Постоялец форума Аватар для Nika
    Пол
    Женский
    Адрес
    Одесса
    Сообщений
    1,682
    Репутация
    570
    Добрый день. Подскажите, пожалуйста, на Таирова, парадонтолога грамотного, и где можно сделать панорамный снимок. Спасибо.

  20. Вверх #33140
    Постоялец форума Аватар для eugtar
    Пол
    Мужской
    Адрес
    Одесса
    Возраст
    47
    Сообщений
    2,856
    Репутация
    73893
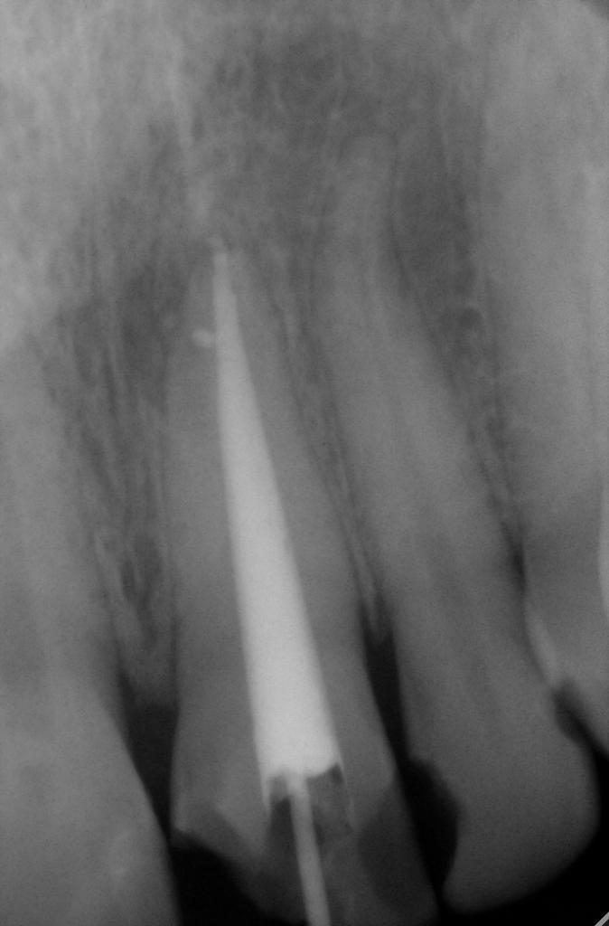
    К теме внутриканального отбеливания (которое, как писали, и "зло", и "разрушает зуб") зубов:
    Пациентка, 45 лет. Обратилась с травматическим сколом пломбы с частью зуба.
    От коронки, как варианта восстановления, категорически отказалась. Из-за выраженного изменения цвета было предложено предварительное внутриканальное отбеливание.
    Нажмите на изображение для увеличения
Название: IMG_21(1)_05_03_2018.jpg
Просмотров: 30
Размер:	43.8 Кб
ID:	12697904Нажмите на изображение для увеличения
Название: 21(1)_26_01_2018.jpg
Просмотров: 31
Размер:	44.5 Кб
ID:	12697922

    Канал зуба перелечен, остатки старого материала полностью удалены (изнутри зуб был темно-бордового цвета):
    Нажмите на изображение для увеличения
Название: 21(2)_05_03_2018.jpg
Просмотров: 25
Размер:	45.2 Кб
ID:	12697924

    Было проведено внутриканальное отбеливание, 2 сеанса. Конечный результат:
    Нажмите на изображение для увеличения
Название: IMG_21(2)_26_03_2018.jpg
Просмотров: 28
Размер:	73.0 Кб
ID:	12697905

    Вчерашнее фото, через 1,5 мес. после постановки пломбы:
    Нажмите на изображение для увеличения
Название: IMG_21(3)_09_05_2018.jpg
Просмотров: 19
Размер:	77.9 Кб
ID:	12697906


Ответить в теме
Страница 1657 из 2081 ПерваяПервая ... 657 1157 1557 1607 1647 1655 1656 1657 1658 1659 1667 1707 1757 ... ПоследняяПоследняя

Метки этой темы

Социальные закладки

Социальные закладки

Ваши права

  • Вы не можете создавать новые темы
  • Вы не можете отвечать в темах
  • Вы не можете прикреплять вложения
  • Вы не можете редактировать свои сообщения