Тема: Стоматология. Зубные вопросы.

Ответить в теме
Страница 1951 из 2081 ПерваяПервая ... 951 1451 1851 1901 1941 1949 1950 1951 1952 1953 1961 2001 2051 ... ПоследняяПоследняя
Показано с 39,001 по 39,020 из 41611
  1. Вверх #39001
    Не покидает форум Аватар для Доктор Игорь
    Пол
    Мужской
    Возраст
    47
    Сообщений
    8,201
    Репутация
    4435
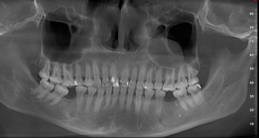
    Цитата Сообщение от Fiara Посмотреть сообщение
    Добрый день. Уважаемые специалисты, что можете сказать по такой картине?

    Вложение 13531621
    Вы обладательница 9(29) зуба! Красивые гайморовы - роскошные, воздушные )), Периодонтит 11 зуба, и возможно кариес в 38. Так и хочется вас посадить в своё кресло


  2. Вверх #39002
    Частый гость Аватар для Fiara
    Пол
    Женский
    Сообщений
    977
    Репутация
    324
    Да, осталась 1 девятка, но я ее трогать,наверное, не буду. С другой стороны удалили девятку лет 7 назад. Вот зачем они мне, лучше б остальные были в порядке)
    А кариес в 12 и 22 зубе есть?

  3. Вверх #39003
    Не покидает форум Аватар для Доктор Игорь
    Пол
    Мужской
    Возраст
    47
    Сообщений
    8,201
    Репутация
    4435
    Цитата Сообщение от Fiara Посмотреть сообщение
    Да, осталась 1 девятка, но я ее трогать,наверное, не буду. С другой стороны удалили девятку лет 7 назад. Вот зачем они мне, лучше б остальные были в порядке)
    А кариес в 12 и 22 зубе есть?
    Возможно, надо смотреть в кресле, бывают пломбы нерентгенконтрастные, например Градия и нек. другие. На фотке как будь-то кариес, надо в кресле смотреть, просвечивать зуб.

  4. Вверх #39004
    Новичок
    Пол
    Женский
    Возраст
    49
    Сообщений
    50
    Репутация
    36
    Доброго утра! А Кто-нибудь пользовался услугами Воскобойника? Как результат?

  5. Вверх #39005
    Не покидает форум Аватар для Дантист
    Пол
    Мужской
    Адрес
    Одесса
    Возраст
    42
    Сообщений
    7,099
    Репутация
    2341
    Цитата Сообщение от __liliana__ Посмотреть сообщение
    Добрый день! Скажите, пожалуйста, если металлокерамические коронки на нижней челюсти не удобны, а стоматолог начинает их подгонять практически убирая рельефность, а они всё равно не удобны, то что делать пациенту? Чем это чревато в дальнейшем?
    Сколами керамики, в связи с ее истончением.

  6. Вверх #39006
    Посетитель Аватар для Patryot_ua
    Пол
    Мужской
    Сообщений
    130
    Репутация
    50
    Доброго времени суток.
    Подскажите пожалуйста хорошего пародонтолога, разрушается десна.
    Спасибо.

  7. Вверх #39007
    Новичок Аватар для s_irena
    Пол
    Женский
    Адрес
    Одесса
    Сообщений
    95
    Репутация
    43
    Знаю, Лихачёва Алла Борисовна,в 3 стоматологии,возле площади Толбухина

  8. Вверх #39008
    Новичок Аватар для s_irena
    Пол
    Женский
    Адрес
    Одесса
    Сообщений
    95
    Репутация
    43
    Может быть,кто нибудь знает хорошего парадонтолога с Института стоматологии на Ришельевской?

  9. Вверх #39009
    Частый гость Аватар для sad goddess
    Пол
    Женский
    Адрес
    одесса
    Возраст
    40
    Сообщений
    553
    Репутация
    919
    День добрый, может кто поделится контактами Олега Евгеньевича Гнеушева, в регистратуре 3 поликлиники вразумительного ответа не удалось добыть,- "Работает в ночные, когда смена сказать не можем, график в кабинете, а телефона там нет, и его телефон тоже не подскажем"

  10. Вверх #39010
    Blaze of beauty
    Аватар для lykawaja
    Пол
    Женский
    Адрес
    Город из снов...
    Сообщений
    22,612
    Репутация
    25301
    Цитата Сообщение от s_irena Посмотреть сообщение
    Может быть,кто нибудь знает хорошего парадонтолога с Института стоматологии на Ришельевской?
    Вишневская Анна Александровна
    Чем больше кайф, тем ярче солнце.

  11. Вверх #39011
    Постоялец форума
    Пол
    Женский
    Адрес
    Родной
    Сообщений
    2,719
    Репутация
    2353
    Уважаемые специалисты, скажите пожалуйста, что не так с этим мостом? Что это за пятна? Нормальное ли это качество? Мне кажется, что так не должно быть или я придираюсь?
    Изображения
    Последний раз редактировалось __liliana__; 03.12.2021 в 20:40.
    Кто счастлив сам, другим зла не желает.

    - Л. Н. Толстой

  12. Вверх #39012
    Постоялец форума
    Пол
    Женский
    Адрес
    Родной
    Сообщений
    2,719
    Репутация
    2353
    Неделю ходила с этим мостом на временном цемента, кушать на эту сторону не могла. Что это с десной? Так должно быть? Мне сказали, что это раздражение от цемента. Почему такая конфигурация десны? Так должно быть? Мне кажется, что это пролежень, т.к. всё время болело и немного кровило, а в один день просто хлынула оттуда кровь. Потом как бы облегчение. Не удалось фокус навести, но на обоих фото видно тёмное пятнышко с края пломбы 5 зуба, цепляет языком, по ощущениям как металл. Что это может быть - кусочек сверла, которым проходили каналы? Врач отправил до следующей недели носить этот мост без цемента вообще. Мост соскакивает и я его вообще сняла и без него десна стала немного сглаживаться. Посоветуйте, пожалуйста, что делать? Врач говорит, что всё нормально. У меня сомнения, т.к. при обращении у меня десна была нормальной формы с обеих сторон.
    Изображения
    Последний раз редактировалось __liliana__; 05.12.2021 в 10:24.
    Кто счастлив сам, другим зла не желает.

    - Л. Н. Толстой

  13. Вверх #39013
    Посетитель Аватар для Dream_angel_
    Пол
    Мужской
    Сообщений
    230
    Репутация
    151
    Подскажите проверенного врача клинику на посёлке/центре.
    Нужен вменяемый/цена качество протезист хотим бабушке зубы поставит там половины нет, другая в печальном состоянии. Спасибо.
    Последний раз редактировалось Dream_angel_; 04.12.2021 в 07:51.

  14. Вверх #39014
    Не покидает форум Аватар для Доктор Игорь
    Пол
    Мужской
    Возраст
    47
    Сообщений
    8,201
    Репутация
    4435
    Цитата Сообщение от Dream_angel_ Посмотреть сообщение
    Подскажите проверенного врача клинику на посёлке/центре.
    Нужен вменяемый/цена качество протезист хотим бабушке зубы поставит там половины нет, другая в печальном состоянии. Спасибо.
    Цены у всех разные. Стучите и вам откроют.

  15. Вверх #39015
    Не покидает форум Аватар для Дантист
    Пол
    Мужской
    Адрес
    Одесса
    Возраст
    42
    Сообщений
    7,099
    Репутация
    2341
    Все не так.
    1. Низкие культи
    2.Препарирование без уступа
    3.Цемент под понтиком
    4.Понтик
    5.Недопрепарировано по жевательной поверхности
    6.Подгонка во рту с вскрытием металла
    7.Сколы керамики по шейкам зубов (из - за отсутствия уступа)
    8.Постоянные работы нужно фиксировать на постоянный цемент, делать временные коронки для проверки прикуса, формы, комфорта


    Но! Именно так и выглядят 90% работ среднего доктора за не все деньги мира )
    Последний раз редактировалось Дантист; 06.12.2021 в 09:21.

  16. Вверх #39016
    Постоялец форума
    Пол
    Женский
    Адрес
    Родной
    Сообщений
    2,719
    Репутация
    2353
    Цитата Сообщение от Дантист Посмотреть сообщение
    Все не так.
    1. Низкие культи
    2.Препарирование без уступа
    3.Цемент под понтиком
    4.Понтик
    5.Недопрепарировано по жевательной поверхности
    6.Подгонка во рту с вскрытием металла
    7.Сколы керамики по шейкам зубов (из - за отсутствия уступа)
    8.Постоянные работы нужно фиксировать на постоянный цемент, делать временные коронки для проверки прикуса, формы, комфорта


    Но! Именно так и выглядят 90% работ среднего доктора за не все деньги мира )
    Подготовка зуба - 1 тыс грн., каждая единица 100 долл. - это мало? То, что имеется на данный момент можно исправить или уже зубы потеряны?
    Последний раз редактировалось __liliana__; 06.12.2021 в 11:33.
    Кто счастлив сам, другим зла не желает.

    - Л. Н. Толстой

  17. Вверх #39017
    Живёт на форуме Аватар для Zhuzhe4k@
    Пол
    Женский
    Сообщений
    3,803
    Репутация
    2696
    Цитата Сообщение от __liliana__ Посмотреть сообщение
    Подготовка зуба - 1 тыс грн., каждая единица 100 долл. - это мало? То, что имеется на данный момент можно исправить или уже зубы потеряны?
    цена средняя, но в Одессе и от цены качество не зависит(

  18. Вверх #39018
    Не покидает форум Аватар для Дантист
    Пол
    Мужской
    Адрес
    Одесса
    Возраст
    42
    Сообщений
    7,099
    Репутация
    2341
    Цитата Сообщение от __liliana__ Посмотреть сообщение
    Подготовка зуба - 1 тыс грн., каждая единица 100 долл. - это мало? То, что имеется на данный момент можно исправить или уже зубы потеряны?
    Цена чуть выше среднего, не стреляйте в пианиста, играет как умеет.
    Исправить можно, ничего страшного не произошло от слова совсем. Главное - зубы, а мостик всегда можно переделать.

    Цитата Сообщение от Zhuzhe4k@ Посмотреть сообщение
    цена средняя, но в Одессе и от цены качество не зависит(
    Нигде не зависит.

  19. Вверх #39019
    Постоялец форума Аватар для brouchek85
    Пол
    Женский
    Адрес
    Одесса
    Сообщений
    2,395
    Репутация
    2102
    Добрый вечер!
    Посоветуйте, пожалуйста, стоматолога для взрослого с паническими атаками/фобиями в связи с прошлым опытом карательной стоматологии.
    Прям очень нежного, бережного, соблюдающего границы, спокойного и профессионала. Лучше женщину, но не обязательно. Район проспект Шевченко и вокруг него. Спасибо!
    Блеф или С Новым годом - смотреть всем!

  20. Вверх #39020
    Постоялец форума Аватар для Цаца.
    Пол
    Женский
    Возраст
    47
    Сообщений
    2,644
    Репутация
    2946
    Цитата Сообщение от brouchek85 Посмотреть сообщение
    Добрый вечер!
    Посоветуйте, пожалуйста, стоматолога для взрослого с паническими атаками/фобиями в связи с прошлым опытом карательной стоматологии.
    Прям очень нежного, бережного, соблюдающего границы, спокойного и профессионала. Лучше женщину, но не обязательно. Район проспект Шевченко и вокруг него. Спасибо!
    Привет! Если Старобазарный сквер, клиника "Триодент" подойдет могу порекомендовать.
    п.с. вспомнила, еще в Лермонтовском санатории есть отличные врачи.
    Последний раз редактировалось Цаца.; 07.12.2021 в 16:05.


Ответить в теме
Страница 1951 из 2081 ПерваяПервая ... 951 1451 1851 1901 1941 1949 1950 1951 1952 1953 1961 2001 2051 ... ПоследняяПоследняя

Метки этой темы

Социальные закладки

Социальные закладки

Ваши права

  • Вы не можете создавать новые темы
  • Вы не можете отвечать в темах
  • Вы не можете прикреплять вложения
  • Вы не можете редактировать свои сообщения