Потом мне удалили вторую пятёрку, нижние шестёрки и поставили брекеты))) Не из-за первой пятёрки))) Зубы были внизу кривые, а верхняя четвёрка не вышла из десны, поэтому решили удалить проблемные зубы и выровнять. Но пока не было долго пятёрки, ничего никуда не ехало, просто потихоньку стали наклоняться друг к другу четвёртый и шестой зуб. Но у вас могут и не наклоняться, может это у меня такая особенность была, да и повторюсь, это уже заметно стало более чем через 3 года.
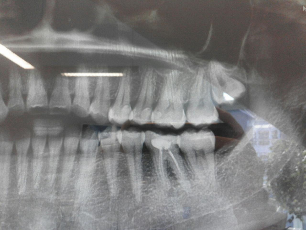
Вот на панорамном снимке хорошо видно.
![]()




Тема:

Ответить с цитированием

Социальные закладки