Тема: Стоматология. Зубные вопросы.

Ответить в теме
Страница 1432 из 2067 ПерваяПервая ... 432 932 1332 1382 1422 1430 1431 1432 1433 1434 1442 1482 1532 1932 ... ПоследняяПоследняя
Показано с 28,621 по 28,640 из 41339
  1. Вверх #28621
    Не покидает форум
    Пол
    Женский
    Сообщений
    18,376
    Репутация
    9169
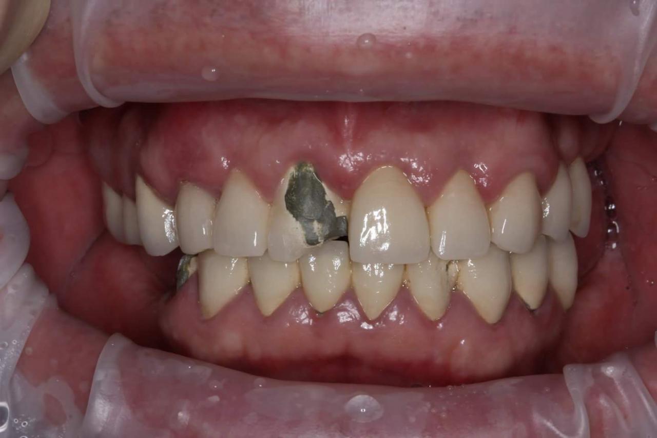
    Цитата Сообщение от айка Посмотреть сообщение
    Невдача бывает у любого доктора. Этой работе полтора месяца, стоимость 69 тысяч евро. Где-то в Западной Европе, фото из ФБ.
    Бывает... переделает Лишение лицензии дороже обойдется


  2. Вверх #28622
    Постоялец форума Аватар для Ded Zlovred
    Пол
    Мужской
    Сообщений
    1,111
    Репутация
    1468
    Цитата Сообщение от айка Посмотреть сообщение
    Невдача бывает у любого доктора. Этой работе полтора месяца, стоимость 69 тысяч евро. Где-то в Западной Европе, фото из ФБ.
    Вложение 11655179Вложение 11655180Вложение 11655181
    Бывает. Но вот конкретно по этой работе у меня возникло бы несколько вопросов...
    1. Это ВСЁ??? Тогда неудивительно. На то, что там не носился съёмный протез и пациент "жевал" только фронтальной группой - очень похоже по состоянию слизистой. И последний опорный зуб на 3-м фото... Во-первых, отпрепарировано под уступ, а по оставшемуся куску колпачка - литья под уступ там близко не наблюдается. Хотя, возможно, колпачок деформировало, когда порвало. И последний опорный зуб, с культёй, восстановленой стеклоиономером, а не вкладкой - тоже наталкивает на размышления о том, так ли случайны ли все эти косяки...
    Последний раз редактировалось Ded Zlovred; 11.11.2016 в 22:02.
    Основное средство сохранности зубов - уважительное отношение к людям

  3. Вверх #28623
    Постоялец форума Аватар для eugtar
    Пол
    Мужской
    Адрес
    Одесса
    Возраст
    47
    Сообщений
    2,841
    Репутация
    71863
    Цитата Сообщение от айка Посмотреть сообщение
    Невдача бывает у любого доктора. Этой работе полтора месяца, стоимость 69 тысяч евро. Где-то в Западной Европе, фото из ФБ.
    Вложение 11655179Вложение 11655180Вложение 11655181
    2-й снимок вверх ногами...))) По нижним зубам сложно поверить, что работе 1,5 мес.

  4. Вверх #28624
    Мисс Одесский Форум
    Аватар для айка
    Пол
    Женский
    Адрес
    Одесса
    Сообщений
    9,414
    Репутация
    9234
    Цитата Сообщение от eugtar Посмотреть сообщение
    По нижним зубам сложно поверить, что работе 1,5 мес.
    "Everybody lies"?
    стомАТОлог

  5. Вверх #28625
    Частый гость Аватар для iamselfish
    Пол
    Женский
    Адрес
    Одесса
    Сообщений
    842
    Репутация
    278
    Кому помогли отбеливающие полоски крест?Какие именно лучше брать для максимального эффекта?

  6. Вверх #28626
    Постоялец форума Аватар для Dr. Evil
    Пол
    Мужской
    Сообщений
    1,390
    Репутация
    703
    Цитата Сообщение от айка Посмотреть сообщение
    "Everybody lies"?
    Да, если бы вы читали обсуждение кейса, то прочитали бы о том, что консилиум утвердился во мнении: пациент соврал как минимум о времени протезирования. Теперь о космической цене: тоже наверняка сочиняет. Тем более что работа по исполнению явно не тянет на такой уровень. Тем более делать керамику жесткому бруксисту, который отламывает консоль... это могут в госке.
    "А если найду?.." (c)

  7. Вверх #28627
    Постоялец форума Аватар для lydovik6
    Пол
    Женский
    Адрес
    Одесса
    Сообщений
    2,209
    Репутация
    2728
    Необходимо поставить на зуб керамическую коронку,врач сказал,что нужно установить штифт.Вопрос-из каких материалов изготавливаются штифты?(мне сказали,что с метала,с большим добавлением серебра,а сверху покрыты пластмассой) .Правда ли это?Или развод,что есть серебро?

  8. Вверх #28628
    Постоялец форума Аватар для zuborvach
    Пол
    Мужской
    Адрес
    Одесса
    Возраст
    53
    Сообщений
    1,872
    Репутация
    1302
    Какая мерзость, враньё, снобизм, лицемерие и ПОНТЫ
    я в этой теме больше не участвую.
    подпись. Глухов Андрей Валерьевич.

    ИМХО. эта тема себя изжила.
    "жрать" надо по показаниям! (с.)

  9. Вверх #28629
    Постоялец форума Аватар для Dr. Evil
    Пол
    Мужской
    Сообщений
    1,390
    Репутация
    703
    Цитата Сообщение от lydovik6 Посмотреть сообщение
    Необходимо поставить на зуб керамическую коронку,врач сказал,что нужно установить штифт.Вопрос-из каких материалов изготавливаются штифты?(мне сказали,что с метала,с большим добавлением серебра,а сверху покрыты пластмассой) .Правда ли это?Или развод,что есть серебро?
    Это скорее всего просто неиндивидуальный штифт из серебра, покрытый композитом. Для начала Вам надо прочитать следующее: http://www.dental-revue.ru/index.php?page=19&artId=3
    Лучшей культевой вкладкой, если есть к таковой конструкции показания, является литая культевая вкладка из золото-палладиевого сплава. Цену представляете? Не дешево. Одним из несомненных плюсов является то, что золотые сплавы можно использовать и для коронок, что исключает в таком случае гальванизм. Да и с биосовместимостью золота вопросов значительно меньше.
    "А если найду?.." (c)

  10. Вверх #28630
    Не покидает форум Аватар для Zoreg
    Пол
    Мужской
    Возраст
    40
    Сообщений
    14,100
    Репутация
    3811
    Цитата Сообщение от Ded Zlovred Посмотреть сообщение
    Кхм...
    Иногда, глядя на результаты работы "импортных" стоматологов стран далеко не "третьего мира" у меня возникают сомнения в наличии у них врачебных дипломов вообще.
    Ну некоторые "импортные" стоматологи тоже весьма удивленялись некоторым "одесским приемам" исполнения пломб, например. Так шо примеры можно приводить со всех сторон. Как хорошие, так и не очень.
    К сожалению, имею более менее обширный опыт лечения как в Одессе, так и у "импортных" стоматологов. У последних как "по страховке", так и "за деньги". Очень таки разные бывают как заведения сами по себе, так и персонажи(врачи). Невдача може спидкаты кожного) Так что обобщать я бы не стал.
    Давече коронки делал. Разница в цене, конечно, несравнима. Но опять жеш, сравнивать голые цифры нет никакого смыслу.

    А возвращаясь к собственно вопросу - /предположим, упуская какую либо врачебную проблему/ что может быть не так у человека, что так ему удаление нижних 8-к не идет ?
    зы. Мне тоже 3 восьмерки удалял у "импортных" И знакомым. Вообще никаких проблем практически. А тут вот такая лажа.
    Последний раз редактировалось Zoreg; 12.11.2016 в 01:04.
    Пушкин жив не хуже Цоя

  11. Вверх #28631
    Постоялец форума Аватар для Dr. Evil
    Пол
    Мужской
    Сообщений
    1,390
    Репутация
    703
    Цитата Сообщение от iamselfish Посмотреть сообщение
    Кому помогли отбеливающие полоски крест?Какие именно лучше брать для максимального эффекта?
    Лучше сделайте индивидуальную каппу для отбеливающего геля. Такие решения как полоски, зубы отбелят, но могут вызвать гингивит. Если не желаете посещать стоматолога, есть в продаже наборы с неиндивидуальными капами (из коробки). Цена даже больше, чем у просто кап, эффект лучше, чем у полосок, но опять же можно раздражение десен вызвать.
    "А если найду?.." (c)

  12. Вверх #28632
    Постоялец форума Аватар для Dr. Evil
    Пол
    Мужской
    Сообщений
    1,390
    Репутация
    703
    Цитата Сообщение от Zoreg Посмотреть сообщение
    Ну некоторые "импортные" стоматологи тоже весьма удивленялись некоторым "одесским приемам" исполнения пломб, например. Так шо примеры можно приводить со всех сторон. Как хорошие, так и не очень.
    К сожалению, имею более менее обширный опыт лечения как в Одессе, так и у "импортных" стоматологов. У последних как "по страховке", так и "за деньги". Очень таки разные бывают как заведения сами по себе, так и персонажи(врачи). Невдача може спидкаты кожного) Так что обобщать я бы не стал.
    Давече коронки делал. Разница в цене, конечно, несравнима. Но опять жеш, сравнивать голые цифры нет никакого смыслу.

    А возвращаясь к собственно вопросу - /предположим, упуская какую либо врачебную проблему/ что может быть не так у человека, что так ему удаление нижних 8-к не идет ?
    зы. Мне тоже 3 восьмерки удалял у "импортных" И знакомых. Вообще никаких проблем практически. А тут вот такая лажа.
    Несколько факторов могут накладываться. Травматизм. Так как доктор посчитал, что ранее у остальных пациентов все было нормально, а данный случай по неизвестной ему причине прошел с осложнениями, то дело не в этом. Хирург, проводивший операцию, конечно же более других осведомлен о уровне вмешательства. Отсутствие ушивания. Вряд ли. Недостаточный уровень гигиены. Очень может быть. Попадание в рану зубного камня или налета приводит к ее инфицированию и осложнениям на последующем этапе. Плюс, накладывается индивидуальная реакция иммунитета на такое инфицирование. Впрочем, об этом уже писали. Плюс, отечность после даже кажущейся одинаковой травмы у разных людей может быть выражена неодинаково. Так что восьмые это зубы-сюрпризы.
    "А если найду?.." (c)

  13. Вверх #28633
    Постоялец форума Аватар для lydovik6
    Пол
    Женский
    Адрес
    Одесса
    Сообщений
    2,209
    Репутация
    2728
    Цитата Сообщение от Dr. Evil Посмотреть сообщение
    Это скорее всего просто неиндивидуальный штифт из серебра, покрытый композитом. Для начала Вам надо прочитать следующее: http://www.dental-revue.ru/index.php?page=19&artId=3
    Лучшей культевой вкладкой, если есть к таковой конструкции показания, является литая культевая вкладка из золото-палладиевого сплава. Цену представляете? Не дешево. Одним из несомненных плюсов является то, что золотые сплавы можно использовать и для коронок, что исключает в таком случае гальванизм. Да и с биосовместимостью золота вопросов значительно меньше.
    Спасибо за ответ,а если культевая вкладка покрыта пластмассой (композитом),тоже возможен гальванизм?Встречались в вашей практике примеры гальванизма у пациентов при протезировании.

  14. Вверх #28634
    Постоялец форума Аватар для Dr. Evil
    Пол
    Мужской
    Сообщений
    1,390
    Репутация
    703
    Цитата Сообщение от lydovik6 Посмотреть сообщение
    Спасибо за ответ,а если культевая вкладка покрыта пластмассой (композитом),тоже возможен гальванизм?Встречались в вашей практике примеры гальванизма у пациентов при протезировании.
    Культевую как эконом вариант можно отливать из того же сплава, что и каркас протеза. Недостатки: модуль упругости намного ниже, чем у тканей зуба. Как вариант, в некоторых случаях просто ломается зуб. А вкладка как новая, да. Культевую ничем не покрывают. На нее изготавливается несъемный протез (коронка). А если покрывать композитом металлические штифты, буть то анкеры или серебро, то через относительно короткое время лопнет этот композит из-за опять же разной упругости штифта и композита. Покрытие коронкой такого зуба прогноз не сильно увеличивает.
    "А если найду?.." (c)

  15. Вверх #28635
    Постоялец форума Аватар для Ded Zlovred
    Пол
    Мужской
    Сообщений
    1,111
    Репутация
    1468
    Цитата Сообщение от Zoreg Посмотреть сообщение
    Ну некоторые "импортные" стоматологи тоже весьма удивленялись некоторым "одесским приемам" исполнения пломб, например. Так шо примеры можно приводить со всех сторон. Как хорошие, так и не очень.
    Так я именно к этому и привёл пример - что "недешёвая и неукраинская клиника" - увы, не обязательно гарантия высокой квалификации всех её врачей...
    Так же, как и у нас.
    Основное средство сохранности зубов - уважительное отношение к людям

  16. Вверх #28636
    Не покидает форум Аватар для Zoreg
    Пол
    Мужской
    Возраст
    40
    Сообщений
    14,100
    Репутация
    3811
    Цитата Сообщение от Ded Zlovred Посмотреть сообщение
    Так я именно к этому и привёл пример - что "недешёвая и неукраинская клиника" - увы, не обязательно гарантия высокой квалификации всех её врачей...
    Так же, как и у нас.
    Таки да. Но вопрос был не в этом.
    Пушкин жив не хуже Цоя

  17. Вверх #28637
    Ягода Маринка

    Аватар для pupsa
    Пол
    Женский
    Адрес
    Одесса, Украина
    Сообщений
    205,542
    Репутация
    219713
    Цитата Сообщение от Dr. Evil Посмотреть сообщение
    Сдайте лучше иммунотермометрический анализ у проф. Пухлика в областной пол. аллергологический кабинет, 6 эт.
    Подскажи пожалуйста , а где эта поликлиника??
    "Между 34 и 35 годами я прожила 10 прекрасных лет"

  18. Вверх #28638
    Постоялец форума Аватар для Dr. Evil
    Пол
    Мужской
    Сообщений
    1,390
    Репутация
    703
    Цитата Сообщение от pupsa Посмотреть сообщение
    Подскажи пожалуйста , а где эта поликлиника??
    Полное название звучит так: Одеська областна клiнiчна лiкарня. Адресс: вул. Академіка Заболотного, 26/32, Одеса, Одеська область, 65000
    "А если найду?.." (c)

  19. Вверх #28639
    Постоялец форума Аватар для Стилистика
    Пол
    Женский
    Сообщений
    1,420
    Репутация
    2074
    Нужен хороший стоматолог в районе таирова или черемушек (желательно не сильно дорогой)!

  20. Вверх #28640
    Посетитель Аватар для Жонулька
    Пол
    Женский
    Адрес
    Одесса
    Возраст
    38
    Сообщений
    391
    Репутация
    308
    Очень очень нужен ваш совет, знатоки зубного дела! Кто у нас в городе делает вместо пломб Керамические вкладки? Метод этот не из дешёвых и не из быстрых! Кто и у кого такое делал? Отзовитесь!!!!


Ответить в теме
Страница 1432 из 2067 ПерваяПервая ... 432 932 1332 1382 1422 1430 1431 1432 1433 1434 1442 1482 1532 1932 ... ПоследняяПоследняя

Метки этой темы

Социальные закладки

Социальные закладки

Ваши права

  • Вы не можете создавать новые темы
  • Вы не можете отвечать в темах
  • Вы не можете прикреплять вложения
  • Вы не можете редактировать свои сообщения