Тема: Стоматология. Зубные вопросы.

Ответить в теме
Страница 751 из 2067 ПерваяПервая ... 251 651 701 741 749 750 751 752 753 761 801 851 1251 1751 ... ПоследняяПоследняя
Показано с 15,001 по 15,020 из 41339
  1. Вверх #15001
    Мисс Одесский Форум
    Аватар для айка
    Пол
    Женский
    Адрес
    Одесса
    Сообщений
    9,414
    Репутация
    9234
    Цитата Сообщение от Skydoc Посмотреть сообщение
    Ура! С праздником! Ввиду последних прений в теме все знают, чего поделать самим себе можно в этот чудный профессиональный праздник
    Ага)))), я вот читаю свеженький журнал по медицине неотложных состояний, там чудная статья про острое отравление этанолом, приходится походу корректировать завтрашний день ибо страшно становится...
    стомАТОлог


  2. Вверх #15002
    Постоялец форума Аватар для Skydoc
    Пол
    Женский
    Сообщений
    2,762
    Репутация
    3368
    Не употреблять этанолсодержащих Как там в теме ресторанов говорят " по бадегам не ходить!"
    - Ты сильная! Ты справишься!...
    - Я умная! Я даже не возьмусь! :-)

  3. Вверх #15003
    Не покидает форум Аватар для Дантист
    Пол
    Мужской
    Адрес
    Одесса
    Возраст
    42
    Сообщений
    7,002
    Репутация
    2317

  4. Вверх #15004
    Частый гость Аватар для Vitana
    Пол
    Женский
    Сообщений
    500
    Репутация
    268
    Цитата Сообщение от Skydoc Посмотреть сообщение
    Наберите доктора завтра, он вам наверняка оставлял свой контактный телефон, и на всякий случай уточните, не надо ли продолжить прием антибиотика, если при наличии разреза не ушел отек и осталась хорошо прощупываемая и не маленькая "гуля", может все таки не все вышло... По идее отек после разреза есть, но...он качественно отличается от отека до разреза, он более "мягкий и разлитой"... уплотнение не желательно... Солевые таки практически бесполезны на этом этапе... Хлогрексидином можно поделать ротовые ванночки и аппликации с Левомеколевой мазью, между губой и десной на ватном тампоне на 15 мин. 3 р/д.
    Спасибо!

    С праздником всех стоматологов! Здоровья, счастья, успехов и благополучия Вам!!!!
    Последний раз редактировалось Vitana; 09.02.2013 в 00:42.

  5. Вверх #15005
    Посетитель Аватар для mishka-d2008
    Пол
    Женский
    Адрес
    Одесса
    Сообщений
    292
    Репутация
    340
    Международный день стоматолога - профессиональный праздник стоматологов и зубных врачей, который отмечается по всей планете ежегодно, 9 февраля. /http://vchaspik.ua/v-mire/104064segodnya-otmechayut-mezhdunarodnyy-den-stomatologa/

    Дата празднования Международного дня стоматолога выбрана не случайно. Праздник зубных врачей отмечается в день почитания католической церковью христианской мученицы Аполлонии Александрийской, которую страшными пытками пытались заставить отречься от христианства. Атрибутами святой Аполлонии, согласно характеру мучений, стали зубцы или щипцы. Святая женщина выдержала все пытки, и когда ей пригрозили казнью на костре, она сама шагнула в пламя.
    С тех пор существует поверье, что стоит произнести: "Santa Apollonia!", И зубная боль отступит.

  6. Вверх #15006
    Новичок
    Пол
    Мужской
    Возраст
    64
    Сообщений
    2
    Репутация
    11
    Уважаемые форумчане,
    пожалуйтса помогите советом.
    Мне 15 лет назад поставили сьемные мосты, поскольку был парадантоз и надо было хорошо вычещать зубы. Но за за это время часть зубов, держащих мост, сломалось. Пора вставлять импланты на их место или что-то делать. Обращения к стоматолагам "с улицы" ни к чему не привели - они такой технологии просто не знали.
    Я не коренной Одесит и не знаю к кому обратиться, что бы не только деньги отдать и намучаться, но все же и зубы иметь.

  7. Вверх #15007
    Новичок Аватар для {Ksuxa}
    Пол
    Женский
    Сообщений
    15
    Репутация
    18
    Клиника "Овасак",Обуховский Валерий Алексеевич,Торицкая 11 а. тел.487840108

  8. Вверх #15008
    Постоялец форума Аватар для Skydoc
    Пол
    Женский
    Сообщений
    2,762
    Репутация
    3368
    Снимок в студию, тогда вам смогут что то и кого то посоветовать...
    - Ты сильная! Ты справишься!...
    - Я умная! Я даже не возьмусь! :-)

  9. Вверх #15009
    Постоялец форума Аватар для zuborvach
    Пол
    Мужской
    Адрес
    Одесса
    Возраст
    53
    Сообщений
    1,872
    Репутация
    1302
    Цитата Сообщение от Skydoc Посмотреть сообщение
    У нас на работе каждый интересный и сложный случай стараемся показать коллегам,
    Аналогично. Всегда стараемся показать-обсудить. (и фоток собралось интересных мнооого!)
    Цитата Сообщение от Vitana Посмотреть сообщение
    Подскажите, пожалуйста, что можно предпринять после дренирования нижней десны(5 дней назад), чтобы отёк побыстрее сошёл? На скуле отёк почти совсем прошёл, а между десной и щекой, рядом с разрезом с дренажем, языком прощупывается большая твёрдая гуля. Полощу солью после каждого приёма пищи, немного массажирую скулу. Может есть какие-то рассасывающие гели/пасты или пройдёт само? Боюсь, что так и останется эта гуля. СтОит ли беспокоиться?
    дренаж обязательно убрать уже. он не должен стоять дольше 2-3 дней. дальше он только поддерживает воспаление.
    для скорейшего рассасывания уплотнения (инфильтрата) можно применять снаружи мази содержащие гепарин (при отсутствии противопоказаний и аллергий). Мне нравится как действует "Долобене гель".
    уплотнение будет проходить медленно, по сути в тканях формируется рубец.
    "жрать" надо по показаниям! (с.)

  10. Вверх #15010
    Постоялец форума Аватар для zuborvach
    Пол
    Мужской
    Адрес
    Одесса
    Возраст
    53
    Сообщений
    1,872
    Репутация
    1302

    По умолчанию И таки ДА! с праздником!

    "жрать" надо по показаниям! (с.)

  11. Вверх #15011
    Новичок Аватар для Luiz
    Пол
    Женский
    Сообщений
    34
    Репутация
    31
    Здравствуйте, всем!Будьте любезны,ответить на вопрос:У кого вы все лечитесь?Друг у друга?или у соседа?а может у подпольных всемогущих,которые скрываются от ФСБ?Так поделитесь же тогда наконец таки ИМЕНАМИ этих творцов чудес!Я за последние 50 страниц вычитала всего пару фамилий,и то не убедительно !Или вы все ходите к стоматологам, в которых вы до сих пор не уверены и не можете их рекомендовать?

  12. Вверх #15012
    User banned
    Пол
    Мужской
    Возраст
    39
    Сообщений
    2,142
    Репутация
    541
    Здравствуйте, всем!Будьте любезны,ответить на вопрос:У кого вы все лечитесь?Друг у друга?или у соседа?а может у подпольных всемогущих,которые скрываются от ФСБ?Так поделитесь же тогда наконец таки ИМЕНАМИ этих творцов чудес!Я за последние 50 страниц вычитала всего пару фамилий,и то не убедительно !Или вы все ходите к стоматологам, в которых вы до сих пор не уверены и не можете их рекомендовать?
    друг у друга)

  13. Вверх #15013
    Новичок Аватар для Linamama
    Пол
    Женский
    Возраст
    48
    Сообщений
    54
    Репутация
    79
    Цитата Сообщение от dovnmr Посмотреть сообщение
    Уважаемые форумчане,
    пожалуйтса помогите советом.
    Мне 15 лет назад поставили сьемные мосты, поскольку был парадантоз и надо было хорошо вычещать зубы. Но за за это время часть зубов, держащих мост, сломалось. Пора вставлять импланты на их место или что-то делать. Обращения к стоматолагам "с улицы" ни к чему не привели - они такой технологии просто не знали.
    Я не коренной Одесит и не знаю к кому обратиться, что бы не только деньги отдать и намучаться, но все же и зубы иметь.
    Могу посоветовать хорошего специалиста стоматолога. Работает он в Виртусе по адресу Бунина, 10. Это в начале Польского спуска высотное здание (бывший завод Эпсилон) на первом этаже. Звать его Александр Михайлович. Тел. 0679067548. В кабинете современное оборудование, даже на месте компьютерный рентген делает. К тому же у него очень легкие руки и берет он по умеренным ценам. У него все мои родственники и знакомые лечатся. Пойдите на консультацию, он Вас посмотрит и всё расскажет, что надо делать. Порядочность его я гарантирую. Зря он денег брать не будет, к тому же дает гарантию на работу и, если что, то исправляет БЕСПЛАТНО. Но там заранее нужно позвонить и записаться.

  14. Вверх #15014
    Посетитель Аватар для stomat
    Пол
    Женский
    Сообщений
    217
    Репутация
    144
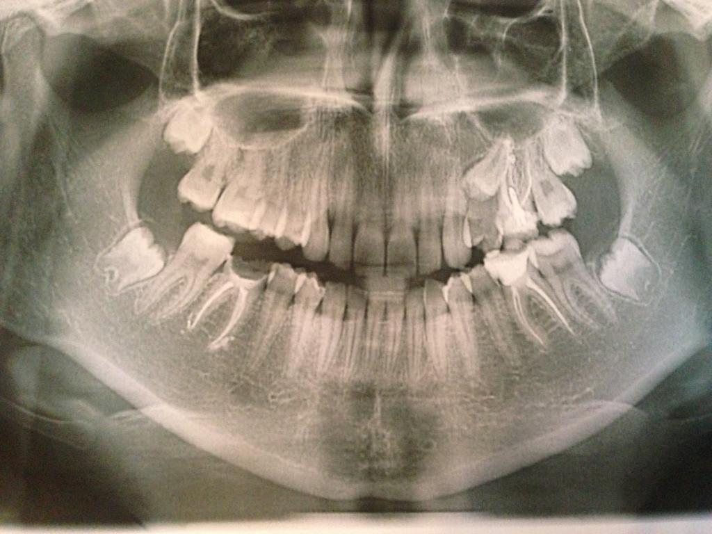
    Нажмите на изображение для увеличения
Название: image.jpg
Просмотров: 49
Размер:	88.5 Кб
ID:	5660051Терапевт лечила и никогда не видела что 5-ка в десне.Я решила сделать керамические вкладки на 6-ки,сделали снимок и увидели 5-ку.Что посоветуете?если удалить 6-ой,можно брекетами 5-ку поставить на его место?

  15. Вверх #15015
    Зубная Фея Аватар для мамалюся
    Пол
    Женский
    Адрес
    любимый город может спать спокойно
    Возраст
    50
    Сообщений
    8,107
    Репутация
    10365
    КОЛЛЕГИ!!!! с праздником!!!!
    желания исполняются!

  16. Вверх #15016
    User banned
    Пол
    Женский
    Адрес
    Одесса
    Сообщений
    9,760
    Репутация
    5121
    С праздником , уважаемые стоматологи ! Хороших вам клиентов и удовлетворения от своей работы !

  17. Вверх #15017
    Мисс Одесский Форум
    Аватар для айка
    Пол
    Женский
    Адрес
    Одесса
    Сообщений
    9,414
    Репутация
    9234
    Цитата Сообщение от stomat Посмотреть сообщение
    можно брекетами 5-ку поставить на его место?
    Мне сомнительно, подождем Брекета.
    стомАТОлог

  18. Вверх #15018
    Не покидает форум Аватар для Дантист
    Пол
    Мужской
    Адрес
    Одесса
    Возраст
    42
    Сообщений
    7,002
    Репутация
    2317
    Цитата Сообщение от stomat Посмотреть сообщение
    Терапевт лечила и никогда не видела что 5-ка в десне.Я решила сделать керамические вкладки на 6-ки,сделали снимок и увидели 5-ку.Что посоветуете?если удалить 6-ой,можно брекетами 5-ку поставить на его место?
    Делайте коронку на шестерку. А пятерка пускай про запас. Вытянуть, если и возможно, то никогда не поздно.

  19. Вверх #15019
    Посетитель Аватар для stomat
    Пол
    Женский
    Сообщений
    217
    Репутация
    144
    Цитата Сообщение от Дантист Посмотреть сообщение
    Делайте коронку на шестерку. А пятерка пускай про запас. Вытянуть, если и возможно, то никогда не поздно.
    мне Ваша версия большего всего нравиться,удалять крайне не хочется. 5-ка уже начинает прорезаться с небной стороны за 6-м,если она там будет не будет изменений в прикусе и т.д ?

  20. Вверх #15020
    Не покидает форум Аватар для Дантист
    Пол
    Мужской
    Адрес
    Одесса
    Возраст
    42
    Сообщений
    7,002
    Репутация
    2317
    О... Начинает прорезываться...

    Конечно будут изменения... Появится еще один зуб...)))


Ответить в теме
Страница 751 из 2067 ПерваяПервая ... 251 651 701 741 749 750 751 752 753 761 801 851 1251 1751 ... ПоследняяПоследняя

Метки этой темы

Социальные закладки

Социальные закладки

Ваши права

  • Вы не можете создавать новые темы
  • Вы не можете отвечать в темах
  • Вы не можете прикреплять вложения
  • Вы не можете редактировать свои сообщения