Тема: Стоматология. Зубные вопросы.

Ответить в теме
Страница 786 из 2080 ПерваяПервая ... 286 686 736 776 784 785 786 787 788 796 836 886 1286 1786 ... ПоследняяПоследняя
Показано с 15,701 по 15,720 из 41588
  1. Вверх #15701
    Новичок Аватар для juliamuz
    Пол
    Женский
    Адрес
    одесса
    Возраст
    43
    Сообщений
    15
    Репутация
    13
    Цитата Сообщение от TravaMyrava Посмотреть сообщение
    так да или нет? )))
    ответ "да" звучал в контексте "Могу если хотите написать Вам какую в Вашем случае лучше безметаловую поставить". Это так чтобы вам ответить.
    А вообще-то прошу дать совет...может кто конкретного врача (сам ставил такие коронки!!!) может посоветовать.
    Последний раз редактировалось juliamuz; 18.04.2013 в 00:00.


  2. Вверх #15702
    Постоялец форума Аватар для Skydoc
    Пол
    Женский
    Сообщений
    2,762
    Репутация
    3377
    Цитата Сообщение от TravaMyrava Посмотреть сообщение
    так да или нет? )))
    Ответ для вас - нет
    Больно ли перерезать ниточку - нет...если швы снимаются вовремя, то к тому моменту они уже ослаблены, ниточка как бы растянута, ее просто перерезают, иногда слегка подтягивают, но это максимум слегка дискомфортно, не переживайте...
    Остальное это дискуссия о безметалле... горжусь грамотными и умеющими отстаивать аргументированно свою точку зрения коллегами
    - Ты сильная! Ты справишься!...
    - Я умная! Я даже не возьмусь! :-)

  3. Вверх #15703
    Посетитель Аватар для stomat
    Пол
    Женский
    Сообщений
    217
    Репутация
    144
    Цитата Сообщение от artist.dent Посмотреть сообщение
    нет ну то что голь на выдумки хитра - это мы знаем
    но в чем тогда смысл безметалла, если в причинном зубе есть металлическая вкв? чем тогда эта конструкция будет отличатся от мк? поделитесь личным опытом)



    а вы думаете это панацея? и противопоказаний нет априори?
    погуглите на досуге)
    я конкретно о пресс керамике не говорила,что касается вкв.не подходить покрыть опакером,есть система cad/cam.Мне гуглить не надо я посещаю мастер классы и семинары.А Вы просто вилами по воде водите.Нет у Вас ответа и все тут Нажмите на изображение для увеличения
Название: image005bhvv.jpg
Просмотров: 61
Размер:	41.6 Кб
ID:	6097177 вот так выглядит металокерамика в большинстве случаев,через время
    Последний раз редактировалось stomat; 18.04.2013 в 07:19.

  4. Вверх #15704
    Посетитель Аватар для stomat
    Пол
    Женский
    Сообщений
    217
    Репутация
    144
    металокерамика Нажмите на изображение для увеличения
Название: 9000639.jpg
Просмотров: 15
Размер:	41.9 Кб
ID:	6097186Нажмите на изображение для увеличения
Название: DSC_7453_001.jpg
Просмотров: 18
Размер:	92.9 Кб
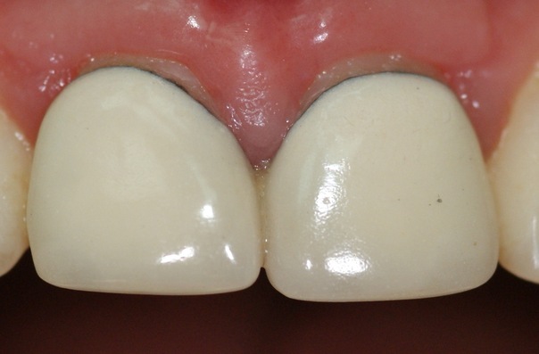
ID:	6097184 безметаловая

  5. Вверх #15705
    Мисс Одесский Форум
    Аватар для айка
    Пол
    Женский
    Адрес
    Одесса
    Сообщений
    9,414
    Репутация
    9234
    Ну если бы вы постарались быть объективной, то показали фото удачных МК. Категоричность не значит объективность

  6. Вверх #15706
    Посетитель Аватар для stomat
    Пол
    Женский
    Сообщений
    217
    Репутация
    144
    Цитата Сообщение от айка Посмотреть сообщение
    Ну если бы вы постарались быть объективной, то показали фото удачных МК. Категоричность не значит объективность
    даже на самых красивых работах металокерамики через время появляется синяя окантовка метала и глубину и прозрачность как на безметаловой не сделать,просто потому что там метал.Бесполезный спор,приходите пообщаемся http://www.ukrdental.com/forum/viewtopic.php?f=35&t=27593
    Последний раз редактировалось stomat; 18.04.2013 в 08:23.

  7. Вверх #15707
    Живёт на форуме Аватар для Larry_Ya
    Пол
    Женский
    Адрес
    Одесса
    Возраст
    52
    Сообщений
    4,753
    Репутация
    3556
    Форумчане, может у кого-то есть координаты Анисимова Максима Викторовича из Института стоматологии. Подружка ооочень его рекомендовала, но потеряла телефон (трубку) и вместе с ним и его координаты.
    Все, что нас не убивает - делает сильнее.
    28.04.2011;)) Я мама Настёны!!!

  8. Вверх #15708
    Постоялец форума Аватар для artist.dent
    Пол
    Женский
    Сообщений
    1,188
    Репутация
    777
    Цитата Сообщение от Дантист Посмотреть сообщение
    - Если нужно менять направление культи резца (где без ВКВ не обойтись), и рядом зубы так же покрываются безметаллом, и необходима максимальная эстетика.
    - Безметалл точнее (литье никогда не даст такой точности, как фрезер. фрезерованный кобальтохромовый колпачок будет стоить столько же как и ДЦ)
    )))
    мне просто было интересно послушать девушку, у который личный опыт - это оказался решающий фактор в выборе конструкции!


    Цитата Сообщение от stomat Посмотреть сообщение
    я конкретно о пресс керамике не говорила,что касается вкв.не подходить покрыть опакером,есть система cad/cam.Мне гуглить не надо я посещаю мастер классы и семинары.А Вы просто вилами по воде водите.Нет у Вас ответа и все тут Вложение 6097177 вот так выглядит металокерамика в большинстве случаев,через время
    А я говорю конкретно- на любую конструкцию есть свои показания и противопоказания! и на безметалл в том числе!

    Я не пришла устраивать вам здесь благотворительный ликбез)
    Информации по этому вопросу море - научитесь пользоваться литературой , интернетом или на худой конец конец той частью тела которая отвечает за слух ,при посещении семинаров)


    Хотя, я вам скажу почему вы не знаете четких прописанных потенциальных противопоказаний ( я поняла из контекста, что вы техник) - потому, что вы не несете никакой ответственности за работу и вам глубоко безразлично в чей рот ставить безметалл, главное вопрос - цена работы!
    За все потом отдувается ваш работодатель - вот он и должен решать кому показана безметалловая конструкция , а кому нет!
    Зачем носить стринги, если у вас кариес?

  9. Вверх #15709
    Посетитель Аватар для stomat
    Пол
    Женский
    Сообщений
    217
    Репутация
    144
    Цитата Сообщение от artist.dent Посмотреть сообщение
    )))
    мне просто было интересно послушать девушку, у который личный опыт - это оказался решающий фактор в выборе конструкции!




    А я говорю конкретно- на любую конструкцию есть свои показания и противопоказания! и на безметалл в том числе!

    Я не пришла устраивать вам здесь благотворительный ликбез)
    Информации по этому вопросу море - научитесь пользоваться литературой , интернетом или на худой конец конец той частью тела которая отвечает за слух ,при посещении семинаров)


    Хотя, я вам скажу почему вы не знаете четких прописанных потенциальных противопоказаний ( я поняла из контекста, что вы техник) - потому, что вы не несете никакой ответственности за работу и вам глубоко безразлично в чей рот ставить безметалл, главное вопрос - цена работы!
    За все потом отдувается ваш работодатель - вот он и должен решать кому показана безметалловая конструкция , а кому нет!
    что касается личного опыта,если Вас это так трогает.Видела столько работ у людей во рту,ЧТО ПЕРВАЯ МЫСЛЬ:-вот себе бы такое уродство,тот врач или техник которое это делал,.поставил бы?????ну да,люди же все равно не понимают и так сойдет,а если не нравиться,то тут можно рассказать человеку:-ну а по другому никак не получится,только вот так,ничего привыкните.Вот на личном бы опыте свое творчество поносили бы и может по другому бы к пациентам относились.artist.dent то что Вы в глаза безметаловую не видели и просто любите поспорить я тоже поняла.Больше Вам отвечать не вижу смысла,ничего глупее чем Ваши посты не видела.Тут такие все умные,а люди ходят с перекошенными протезами,опакового цвета и оголенными шейками.Чтоб Вы на деле такие же грамотные были.Удачи в работе!!!!

  10. Вверх #15710
    Постоялец форума Аватар для artist.dent
    Пол
    Женский
    Сообщений
    1,188
    Репутация
    777
    увы, вы так ничего и не поняли.....

    ну да , это реально для некоторых высокие материи , да и образование не всегда позволяет углубится в вопрос медицинских показаний и противопоказаний! ( и не только ! иногда даже вести грамотный диалог и не опускаться на привозный уровень- оказывается очень проблематично)
    вот другое дело - просто сотрясать воздух и переливать из пустого в порожнее! это дааа- форева!

    поверьте, вам не нужно отвечать не только мне - ваш поток сознания не интересен никому!!! а ответа профессионала знающего свое дело я не услышала- и поэтому не вижу никакой смысловой нагрузки в вашей писанине!
    когда человек не может ничего сказать по теме - начинается стадия оскорблений
    но не забывайте, я врач- а врач как известно на определенную группу людей не обижается! грех знаете ли)

    Я с вами с прощаюсь
    Зачем носить стринги, если у вас кариес?

  11. Вверх #15711
    трубокур-анархист Аватар для Сергун
    Пол
    Мужской
    Адрес
    Odessa - mother
    Сообщений
    4,922
    Репутация
    3375
    Не хочется цитировать никого, почему то... Грустно, опять повылазило гуано общения в стиле врач-техник...
    Согласен, есть показания и противопоказания, работа должна планироваться и обсуждаться вместе, так как давно известно, что две головы лучше, как не крути. Мк тоже хорошо, если дружить с головой и руками, когда один может запилить плечо и проснять, а другой(ая) может сделать и не будет синюшной десны и прочая... А набыкопорить можно и на безмете "красиво"...
    По поводу ВКВ, можно тоже вопрос решить и сделать безмет. Всё зависит от того, какой конечный результат может себе представить данный тандем, а если они работают в стиле "лебедь-щука-рак", а перед глазами только бабло, то да...
    Кароче, чёта разговорился я... сорри
    - Неплохо стреляешь. Где это ты научился?
    - По самоучителю.©

  12. Вверх #15712
    Зубная Фея Аватар для мамалюся
    Пол
    Женский
    Адрес
    любимый город может спать спокойно
    Возраст
    50
    Сообщений
    8,107
    Репутация
    10365
    а я думаю что многие видели прекрасные работы металло-пластмасса - в последнее время работы, которые видела - достойные, правда... ну не все могут позволить керамику, тем более БМ... а для некурящего контингента МП тоже выход..... ну блин страна у нас такая, что не могут люди позволить себе что хотят... слишком часто люди, которые идут к ортопеду со словами - не в деньгах дело. как лучше так и будем делать..... выходят поникшие и просят все таки более бюджетный вариант...
    желания исполняются!

  13. Вверх #15713
    Постоялец форума Аватар для tosha
    Пол
    Женский
    Сообщений
    1,400
    Репутация
    317
    Да... Абсолютным противопоказанием для безметаловой керамики является отсутствие денег у пациентов( к сожалению).....
    2 сыночка и лапочка-дочка.

  14. Вверх #15714
    Посетитель Аватар для IL MEDICO
    Пол
    Мужской
    Адрес
    Oдесса
    Возраст
    54
    Сообщений
    120
    Репутация
    168
    Цитата Сообщение от stomat Посмотреть сообщение
    даже на самых красивых работах металокерамики через время появляется синяя окантовка метала и глубину и прозрачность как на безметаловой не сделать,просто потому что там метал.Бесполезный спор,приходите пообщаемся http://www.ukrdental.com/forum/viewtopic.php?f=35&t=27593
    По глубине цвета согласен, А"синяя окантовка" НЕ СОГЛАСЕН в умелых руках превращается в керамическое плечо.Косметика с плечом получается очень красивая.

  15. Вверх #15715
    Постоялец форума Аватар для Skydoc
    Пол
    Женский
    Сообщений
    2,762
    Репутация
    3377
    Ой, можно и я об окантовке?
    Она б не так быстро и явно появлялась бы, если б еще ортопеды перед сдачей работ напоминали пациентам, что мостики и подковки от посещений парадонтологов не освобождают, чистка, щетки, ершики, пасты и ополаскиватели, снятие камней... тогда б, глядишь, и десна малиновые с атрофией через пару лет не "приносили" пациенты. ...
    - Ты сильная! Ты справишься!...
    - Я умная! Я даже не возьмусь! :-)

  16. Вверх #15716
    User banned
    Пол
    Мужской
    Возраст
    39
    Сообщений
    2,142
    Репутация
    541
    Ой, можно и я об окантовке?
    Она б не так быстро и явно появлялась бы, если б еще ортопеды перед сдачей работ напоминали пациентам, что мостики и подковки от посещений парадонтологов не освобождают, чистка, щетки, ершики, пасты и ополаскиватели, снятие камней... тогда б, глядишь, и десна малиновые с атрофией через пару лет не "приносили" пациенты. ...
    не всем это поможет

  17. Вверх #15717
    Постоялец форума Аватар для Skydoc
    Пол
    Женский
    Сообщений
    2,762
    Репутация
    3377
    Я не говорю, что это панацея...но намеренно игнорировать и не напоминать пациентам - халатность...
    - Ты сильная! Ты справишься!...
    - Я умная! Я даже не возьмусь! :-)

  18. Вверх #15718
    Посетитель Аватар для stomat
    Пол
    Женский
    Сообщений
    217
    Репутация
    144
    Цитата Сообщение от IL MEDICO Посмотреть сообщение
    По глубине цвета согласен, А"синяя окантовка" НЕ СОГЛАСЕН в умелых руках превращается в керамическое плечо.Косметика с плечом получается очень красивая.
    я же только ЗА чтоб с плечом,но уступ и проснять его это самое больное место врачей(НЕ ВСЕ, есть и очень толковые врачи,но мало кто может)может так только мне не везет и попадаются только ко мне люди у которых ну просто НИКАКИЕ работы во рту стоят,какое там плечо.Недавно была женщина,поставила(не знаю у кого,не интересовалась) керамику и неделю не относила.просто не может ими даже жевать.накусала щеки ,это я не говорю что они вообще не в цвет и очень мелкие,и смотрят в разные стороны.Мы ей переделали и она заплатила(получается дважды пришлось платить).На практике почему то все не так красиво у пациентов.Мне их жалко.
    Последний раз редактировалось stomat; 19.04.2013 в 07:21.

  19. Вверх #15719
    Посетитель Аватар для stomat
    Пол
    Женский
    Сообщений
    217
    Репутация
    144
    сейчас есть такие технологии,можно делать такие потрясающие работы,а мы к сожалению .........В Киев лучше на семинары вообще не ездить,чтоб не расстраиваться,мы не то-что в последнем вагоне едим,вообще за поездом идем.Даже не надо на Европу равняться,вот http://www.ukrdental.com/forum/viewtopic.php?f=22&t=22563 есть и в нашей стране с кого брать пример.Если учесть,что пациент бывает дважды платить за работу.переделывая через неделю(это в итоге ей получилось по 200 дол за ед)можно было и безметал поставить.Думаю моя недавняя пациентка не единственный случай в Одессе,кто переделывает так и не попользовавшись коронками
    Последний раз редактировалось stomat; 19.04.2013 в 09:44.

  20. Вверх #15720
    трубокур-анархист Аватар для Сергун
    Пол
    Мужской
    Адрес
    Odessa - mother
    Сообщений
    4,922
    Репутация
    3375
    Ой, Ви меня конечно извините, а где у нас поголовно берут 200 баксов за единицу МК...?
    2. Не верю, что пациент заплативший 200 уёв не выел доктору моск и не вернул себе деньги за работу, ну не верю я...
    3. У Михайлюка коронка не стоит 200, а дороже. Простой обыватель не поедет делать во Франковск делать зубы, им времени не хватает пломбы ставить.
    - Неплохо стреляешь. Где это ты научился?
    - По самоучителю.©


Ответить в теме
Страница 786 из 2080 ПерваяПервая ... 286 686 736 776 784 785 786 787 788 796 836 886 1286 1786 ... ПоследняяПоследняя

Метки этой темы

Социальные закладки

Социальные закладки

Ваши права

  • Вы не можете создавать новые темы
  • Вы не можете отвечать в темах
  • Вы не можете прикреплять вложения
  • Вы не можете редактировать свои сообщения