Тема: Стоматология. Зубные вопросы.

Ответить в теме
Страница 651 из 2066 ПерваяПервая ... 151 551 601 641 649 650 651 652 653 661 701 751 1151 1651 ... ПоследняяПоследняя
Показано с 13,001 по 13,020 из 41317
  1. Вверх #13001
    Живёт на форуме Аватар для Lobver
    Пол
    Мужской
    Сообщений
    2,982
    Репутация
    1603
    Цитата Сообщение от Barabashka-OD Посмотреть сообщение
    На то могут быть как минимум 2 объективных причины:
    1. При сильно разрушенном зубе пульповая камера (там, где нерв) может быть вскрыта; есть пульпит(воспаление нерва) или реальная угроза его возникновения.
    2. Зуб настолько разрушен, что реставрация пломбировочным материалом не будет держаться, и зуб желательно закрыть коронкой.
    Я тоже удивился, у женщины то все с нервами в порядке. Зачем тогда депульпирование?


  2. Вверх #13002
    User banned
    Пол
    Мужской
    Адрес
    Одесса
    Сообщений
    3,437
    Репутация
    1783
    Цитата Сообщение от Lobver Посмотреть сообщение
    Я тоже удивился, у женщины то все с нервами в порядке. Зачем тогда депульпирование?
    Не факт...
    Увы, но отсутствие жалоб на боль - не всегда говорит об отсутствии пульпита.
    Плюс:
    ...выплюнула половину нижней семерки, но пломба в той части зуба, которая на месте...
    ...направил на "удаление сосочка"...смысла просто ставить пломбу нет, т.к. будет постоянно выпадать, и постоянно будут образовываться эти "сосочки"...
    судя по написанному - зуб разрушен достаточно сильно, и к тому-же - под десну.
    Последний раз редактировалось Barabashka-OD; 10.07.2012 в 23:33.

  3. Вверх #13003
    Живёт на форуме Аватар для Lobver
    Пол
    Мужской
    Сообщений
    2,982
    Репутация
    1603
    Цитата Сообщение от Barabashka-OD Посмотреть сообщение
    Не факт...
    Увы, но отсутствие жалоб на боль - не всегда говорит об отсутствии пульпита.
    Я не врач, объясните, зачем лечить зуб таким образом, чтобы оставлять старый мертвый остаток зуба, который за 3-5 года пропадет, если можно сразу зубной протез делать? Так же проще вроде.

  4. Вверх #13004
    User banned
    Пол
    Мужской
    Адрес
    Одесса
    Сообщений
    3,437
    Репутация
    1783
    Цитата Сообщение от Lobver Посмотреть сообщение
    Я не врач, объясните, зачем лечить зуб таким образом, чтобы оставлять старый мертвый остаток зуба, который за 3-5 года пропадет, если можно сразу зубной протез делать? Так же проще вроде.
    1. Не факт, что он пропадёт так быстро, он может ещё и больше простоять. Хотя прогнозировать по срокам обычно сложно, тут влияет достаточно много факторов, в том числе - и не всегда прямо зависящих и от врача, и от пациента, но удаление - это в любом случае, последняя мера, после которой остаётся только протезирование.
    2. Если у человека нет возможности в ближайшее время запротезироваться имплантом - приходится ставить мостовидный протез - при этом мы травмируем ещё 2 зуба, а в любом случае - протезы и зубы под ними - не вечны. Так что - если есть возможность отсрочить более радикальные вмешательства даже на 2-3-5 лет - оно того стоит.

  5. Вверх #13005
    Живёт на форуме Аватар для Lobver
    Пол
    Мужской
    Сообщений
    2,982
    Репутация
    1603
    Цитата Сообщение от Barabashka-OD Посмотреть сообщение
    1. Не факт, что он пропадёт так быстро, он может ещё и больше простоять. Хотя прогнозировать по срокам обычно сложно, тут влияет достаточно много факторов, в том числе - и не всегда прямо зависящих и от врача, и от пациента, но удаление - это в любом случае, последняя мера, после которой остаётся только протезирование.
    2. Если у человека нет возможности в ближайшее время запротезироваться имплантом - приходится ставить мостовидный протез - при этом мы травмируем ещё 2 зуба, а в любом случае - протезы и зубы под ними - не вечны. Так что - если есть возможность отсрочить более радикальные вмешательства даже на 2-3-5 лет - оно того стоит.
    Ясно. Кстати, а разве на 7-ку делают протез? Там же самая большая и постоянная нагрузка. Или когда на шурупе в кости, то всё по боку?)))))))

    приятель имел пару зубов вверху на шурупах, и однажды упал сильно с мотыка на вернюю губу - наверное не надо говорить, что произошло))

  6. Вверх #13006
    Посетитель Аватар для Se.Lena
    Пол
    Женский
    Адрес
    Одесса
    Возраст
    41
    Сообщений
    193
    Репутация
    83
    Вообще мне не понятно откуда берется такая информация, что зуб без нерва 3-5 лет простоит и все на удаление, уже второй раз за неделе это слышу, а неделя только началась))
    C'est la vie ...

  7. Вверх #13007
    Не покидает форум Аватар для Дантист
    Пол
    Мужской
    Адрес
    Одесса
    Возраст
    42
    Сообщений
    6,997
    Репутация
    2314
    Стоматологи пытаются продать больше имплантатов? (Шутка...))))

  8. Вверх #13008
    Частый гость Аватар для Натали1209
    Пол
    Женский
    Сообщений
    796
    Репутация
    524
    Цитата Сообщение от Lobver Посмотреть сообщение
    ну так мертвый зуб держится недолго. Зачем тогда убивать?
    под коронкой очень долго

  9. Вверх #13009
    Постоялец форума Аватар для Nikolb
    Пол
    Женский
    Адрес
    Одесса
    Возраст
    40
    Сообщений
    1,451
    Репутация
    938
    Цитата Сообщение от Barabashka-OD Посмотреть сообщение
    судя по написанному - зуб разрушен достаточно сильно, и к тому-же - под десну.
    первое, что мне сказал врач, что после удаление будем пломбировать, потом я спросила, как часто могут образовываться эти "сосочки" и способствовать разрушению зуба? Врач сказал, что по его опыту, и на этом сделал акцент, это происходит довольно часто, возможно каждые три месяца. Вот хотелось бы узнать, у кого есть опыт подобных ситуаций, что вы об этом думаете? Я не сильна в стоматологии, но визуально осталась большая часть зуба, правда с пломбой не большой...
    Спасибо всем за ответы

  10. Вверх #13010
    Новичок Аватар для DentArt
    Пол
    Мужской
    Возраст
    43
    Сообщений
    23
    Репутация
    14
    Цитата Сообщение от Nikolb Посмотреть сообщение
    Уважаемые стоматологи и просто добрые люди, нужен ваш опыт)) Ситуация такова: вчера просто, с ничего (я так думаю), выплюнула половину нижней семерки (восьмерка была удалена год назад, а эта семерка пломбирована, но пломба в той части зуба, которая на месте))), сегодня показалась своему стоматологу, направил на "удаление сосочка", как я поняла, нарост десны, который надо то ли вырезать, то ли прижечь, и на следующий день к нему, так вот вопрос в чем, врач говорит, что по его опыту, смысла просто ставить пломбу нет, т.к. будет постоянно выпадать, и постоянно будут образовываться эти "сосочки", поэтому предложил депульпировать зуб и ставить коронку. Кто с таким сталкивался? Стоит ли убивать зуб или все же попытаться спасти?
    Под металлокерамическую коронку надо удалить нерв. Сосочки на адгезию пломбы к зубу не влияют. Сосочек это часть десны между зубами.
    Последний раз редактировалось DentArt; 11.07.2012 в 10:27.

  11. Вверх #13011
    Новичок
    Пол
    Женский
    Сообщений
    15
    Репутация
    20
    Цитата Сообщение от Camomilla Посмотреть сообщение
    Пришла от зубного только что:
    - Анестезия - 35 грн
    - Пломба - 180
    =215

    В понедельник отнесла 575. Еще завтра гривен 400
    Я вчера была у стоматолога. До сих пор в шоке. Временную пломбу поставили за 80 грн. В пятницу поставят настоящую, с пломбированием трех каналов пломба обойдется 600грн. И это только один зубик!
    Людмила

  12. Вверх #13012
    Новичок Аватар для стоматклиник
    Пол
    Мужской
    Возраст
    43
    Сообщений
    2
    Репутация
    11
    Цитата Сообщение от Людмайлв Посмотреть сообщение
    Я вчера была у стоматолога. До сих пор в шоке. Временную пломбу поставили за 80 грн. В пятницу поставят настоящую, с пломбированием трех каналов пломба обойдется 600грн. И это только один зубик!
    Фотополимерная пломба от 80 гр
    https://forumodua.com/showthread.php?t=1446281

  13. Вверх #13013
    Частый гость Аватар для Натали1209
    Пол
    Женский
    Сообщений
    796
    Репутация
    524
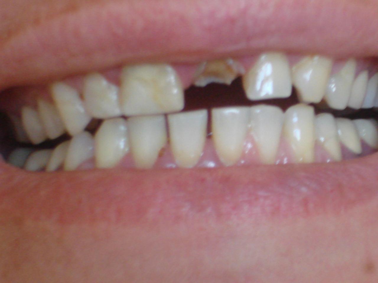
    Не постесняюсь, расскажу, что происходит у меня. В субботу полностью сломался первый верхний зуб, осталось от него только то, что в десне, 6 лет назад был пульпит, пришлось удалять нерв, потом еще за 6 лет 2 раза пломбировали его, но.... вот пришел его конец. Нет худа без добра, несколько лет хотела сделать металлокерам. мостик на 4 верхних передних зуба, и вот, наконец-то, благодаря поломке занялась этим. Вот сейчас в процессе: в понед. сделала снимок и к врачу - сразу же сняли слепок на вкладку в поломанный зуб, депульпировали соседний, второй зуб, вечером - уже поставили вкладку, во вторник - депульпировали 2 зуба со 2 стороны и все 4 зуба обточили под коронки, сняли слепки.... правда, вчера я просидела в кресле стоматолога 2 часа 45 минут..... тяжело, но не захотела растягивать "удовольствие". В зеркало пока стараюсь не смотреться и людям на глазапоказываться Сейчас поеду - поставят временные коронки, чтобы спокойно доходить до готовых металлокерамических, в понедельник, думаю, эпопея закончится. А вот и он, виновник моих мучений - Нажмите на изображение для увеличения
Название: 005.jpg
Просмотров: 60
Размер:	65.5 Кб
ID:	4525189Нажмите на изображение для увеличения
Название: 002.jpg
Просмотров: 42
Размер:	72.8 Кб
ID:	4525190 если интересно, покажу результат по окончании лечения. Надеюсь, он меня порадует
    Последний раз редактировалось Натали1209; 11.07.2012 в 11:44.

  14. Вверх #13014
    Постоялец форума Аватар для zuborvach
    Пол
    Мужской
    Адрес
    Одесса
    Возраст
    53
    Сообщений
    1,872
    Репутация
    1302
    и шо вы всякую гадость в рот тянете? она хоть мытая?

    зы. "стоматклиник" (муж. 30 лет) - "рестОврирует" зубы
    а "ДентАрт (муж. 30 лет) - "предлОгает" услуги стоматолога...

    то ли клоны, то ли учились вместе.... (плохо)
    "жрать" надо по показаниям! (с.)

  15. Вверх #13015
    Частый гость Аватар для Натали1209
    Пол
    Женский
    Сообщений
    796
    Репутация
    524
    Цитата Сообщение от Lobver Посмотреть сообщение
    Я не врач, объясните, зачем лечить зуб таким образом, чтобы оставлять старый мертвый остаток зуба, который за 3-5 года пропадет, если можно сразу зубной протез делать? Так же проще вроде.
    У меня под коронками стоят 5,6 и 7 зуб, из них 6 и 7 без нервов, укрепленные вкладками, стоят уже 10 лет и ничего страшного с ними не происходит. 2 года назад мостик расцементировался , его заново укрепили и все нормально. Главное, чтобы врач грамотно все сделал, так я думаю.

  16. Вверх #13016
    Частый гость Аватар для Натали1209
    Пол
    Женский
    Сообщений
    796
    Репутация
    524
    Цитата Сообщение от zuborvach Посмотреть сообщение
    и шо вы всякую гадость в рот тянете? она хоть мытая?
    ... (плохо)
    это Вы мне? Не поняла...

  17. Вверх #13017
    Постоялец форума Аватар для zuborvach
    Пол
    Мужской
    Адрес
    Одесса
    Возраст
    53
    Сообщений
    1,872
    Репутация
    1302
    Цитата Сообщение от Натали1209 Посмотреть сообщение
    это Вы мне? Не поняла...
    ни-ни, простите. поленился цитировать, а пока писал пост мой оказался после Вашего.
    я это новым стОмОтОлОгам! с однотипными авами.
    "жрать" надо по показаниям! (с.)

  18. Вверх #13018
    Частый гость Аватар для Натали1209
    Пол
    Женский
    Сообщений
    796
    Репутация
    524
    Цитата Сообщение от zuborvach Посмотреть сообщение
    я это новым стОмОтОлОгам!
    )))))))))))) образование.... бывает разным)

  19. Вверх #13019
    Новичок Аватар для стоматклиник
    Пол
    Мужской
    Возраст
    43
    Сообщений
    2
    Репутация
    11
    Цитата Сообщение от zuborvach Посмотреть сообщение
    и шо вы всякую гадость в рот тянете? она хоть мытая?

    зы. "стоматклиник" (муж. 30 лет) - "рестОврирует" зубы
    а "ДентАрт (муж. 30 лет) - "предлОгает" услуги стоматолога...

    то ли клоны, то ли учились вместе.... (плохо)
    Информация для размышления.
    В Японии пломба стоит 50 уе. при зарплате 5000 уе.

  20. Вверх #13020
    трубокур-анархист Аватар для Сергун
    Пол
    Мужской
    Адрес
    Odessa - mother
    Сообщений
    4,922
    Репутация
    3373
    Гы... это был ответ на пост zuborvachа
    - Неплохо стреляешь. Где это ты научился?
    - По самоучителю.©


Ответить в теме
Страница 651 из 2066 ПерваяПервая ... 151 551 601 641 649 650 651 652 653 661 701 751 1151 1651 ... ПоследняяПоследняя

Метки этой темы

Социальные закладки

Социальные закладки

Ваши права

  • Вы не можете создавать новые темы
  • Вы не можете отвечать в темах
  • Вы не можете прикреплять вложения
  • Вы не можете редактировать свои сообщения