Тема: Стоматология. Зубные вопросы.

Ответить в теме
Страница 2051 из 2068 ПерваяПервая ... 1051 1551 1951 2001 2041 2049 2050 2051 2052 2053 2061 ... ПоследняяПоследняя
Показано с 41,001 по 41,020 из 41346
  1. Вверх #41001
    Постоялец форума
    Пол
    Женский
    Адрес
    Родной
    Сообщений
    2,717
    Репутация
    2260
    Добрый день. Подскажите, сейчас кто-нибудь делает мосты из металло-пластмассы?
    Кто счастлив сам, другим зла не желает.

    - Л. Н. Толстой


  2. Вверх #41002
    Не покидает форум Аватар для Дантист
    Пол
    Мужской
    Адрес
    Одесса
    Возраст
    42
    Сообщений
    7,006
    Репутация
    2319
    Цитата Сообщение от __liliana__ Посмотреть сообщение
    Добрый день. Подскажите, сейчас кто-нибудь делает мосты из металло-пластмассы?
    Можно хоть просто из пластмассы сделать. Задача какая, секономить?
    Думаю, по цене металлопластмассы можно найти металлокерамику.

  3. Вверх #41003
    Не покидает форум Аватар для Дантист
    Пол
    Мужской
    Адрес
    Одесса
    Возраст
    42
    Сообщений
    7,006
    Репутация
    2319
    Цитата Сообщение от Svetlana_74 Посмотреть сообщение
    Добрый день,необходимо поставить коронки на пятый,шестой и седьмой вверху справа и на шестерку внизу слева, в первую очередь интересует не красота, а правильно выполненная работа с точки зрения ортопедии.Первая консультация на которой была,оказалось на мой взгляд не очень удачной..
    Поэтому ищу специалиста,желательно с функцией цена/качество))
    А что именно Вам не понравилось?

  4. Вверх #41004
    Новичок
    Пол
    Мужской
    Сообщений
    57
    Репутация
    17
    Всем привет!Сколько стоит металлокерамика нынче?

  5. Вверх #41005
    Не покидает форум Аватар для Дантист
    Пол
    Мужской
    Адрес
    Одесса
    Возраст
    42
    Сообщений
    7,006
    Репутация
    2319
    800 евро единица

  6. Вверх #41006
    Новичок Аватар для Svetlana_74
    Пол
    Женский
    Возраст
    51
    Сообщений
    56
    Репутация
    41
    Цитата Сообщение от Дантист Посмотреть сообщение
    А что именно Вам не понравилось?
    не понравилось,что толком ничего не объясняли и предложили только быстренько мостик из металлокерамики и все
    в итоге пока я ждала тут ответа у меня слетела временная коронка с импланта, которую мне ставили еще во времена ковида)),кст доктор мог не заметить ,что она временная? потому что за этот зуб разговора у нас вообще не было

  7. Вверх #41007
    Новичок Аватар для Svetlana_74
    Пол
    Женский
    Возраст
    51
    Сообщений
    56
    Репутация
    41
    Нажмите на изображение для увеличения
Название: photo_2025-02-07_23-01-01.jpg
Просмотров: 25
Размер:	31.6 Кб
ID:	13616169

    очень жду совета специалистов

  8. Вверх #41008
    Не покидает форум Аватар для Дантист
    Пол
    Мужской
    Адрес
    Одесса
    Возраст
    42
    Сообщений
    7,006
    Репутация
    2319
    Цитата Сообщение от Svetlana_74 Посмотреть сообщение
    не понравилось,что толком ничего не объясняли и предложили только быстренько мостик из металлокерамики и все
    в итоге пока я ждала тут ответа у меня слетела временная коронка с импланта, которую мне ставили еще во времена ковида)),кст доктор мог не заметить ,что она временная? потому что за этот зуб разговора у нас вообще не было
    Мог не заметить, что временная, если качественно сделана.

    Некоторые делают пластмассовые временные коронки как бюджетные постоянные, вместо металлокерамики.

  9. Вверх #41009
    Не покидает форум Аватар для Дантист
    Пол
    Мужской
    Адрес
    Одесса
    Возраст
    42
    Сообщений
    7,006
    Репутация
    2319
    Цитата Сообщение от Svetlana_74 Посмотреть сообщение
    Вложение 13616169

    необходимо поставить коронки на пятый,шестой и седьмой вверху справа и на шестерку внизу слева, в первую очередь интересует не красота, а правильно выполненная работа с точки зрения ортопедии

    очень жду совета специалистов
    А удалить внизу справа и коронки сверху слева Вам не интересно?

    Сверху справа проверить каналы более качественным снимком и сделать мостик
    Снизу слева переделать временну коронку на импланте, отмоделировав моляром, на половину семерки сделать премоляр, чтобы корень подольше простоял.
    Можно сделать хоть цельнолитые, любую работу можно испортить кривыми руками.
    Последний раз редактировалось Дантист; 08.02.2025 в 15:58.

  10. Вверх #41010
    Не покидает форум Аватар для Доктор Игорь
    Пол
    Мужской
    Возраст
    47
    Сообщений
    8,168
    Репутация
    4429
    Цитата Сообщение от Svetlana_74 Посмотреть сообщение
    Вложение 13616169

    очень жду совета специалистов
    Перелечить все каналы ПС снимок не чёткий, надо переделать, ну надо смотреть вас, мост на имплант и зуб точно ставить не рекомендую, да и по ходу имплант не очень уже. если имплант не очень, убрать и мостик МК с 34 на 37, корень удалить, если денег достаточно, можно на имплантах всё сделать

  11. Вверх #41011
    Новичок Аватар для kicka
    Пол
    Женский
    Адрес
    Одесса
    Возраст
    45
    Сообщений
    50
    Репутация
    49
    Здравствуйте уважаемые форумчане! Прошу поделиться
    информацией о хирургах, которые берутся за сложные случаи удаления ретинированных восмерок. Имею две нижних 8ки, которые видимо начали портится прямо в десне и портить изрядно 7ки, а с права прийдется резать еще и ткани между десной и щекой там что то достаточно крупное, похожее на кисту. Заранее благодарна за информацию.

  12. Вверх #41012
    Новичок
    Пол
    Женский
    Адрес
    Моя Одесса
    Сообщений
    18
    Репутация
    48
    Цитата Сообщение от kicka Посмотреть сообщение
    Здравствуйте уважаемые форумчане! Прошу поделиться
    информацией о хирургах, которые берутся за сложные случаи удаления ретинированных восмерок. Имею две нижних 8ки, которые видимо начали портится прямо в десне и портить изрядно 7ки, а с права прийдется резать еще и ткани между десной и щекой там что то достаточно крупное, похожее на кисту. Заранее благодарна за информацию.
    Думаю, Мюльберг очень неплохой врач. Иногда не особо что-то объясняет, но 3 зуба вырвал в моей семье хорошо, без осложнений.
    Работал на Терешковой в поликлинике и параллельно в стомат. клинике Королева/25 Чапаевская. Еще до войны.
    И его на форуме хвалили...

  13. Вверх #41013
    Посетитель Аватар для Angel_1970
    Пол
    Женский
    Адрес
    Одесса
    Возраст
    55
    Сообщений
    210
    Репутация
    138
    Добрый вечер.
    Можете подсказать какая причина воспаления десны . Внизу целый мост(металлокерамика). Вверху тоже всё металлокерамика.Никогда не было такого.Может быть повреждения твердой едой(грушей)? На верху слева и справа нет зубов.В декабре вырвали.Жевать не очень удобно.Мазала десну ничего не помогает.
    Изображения
    Последний раз редактировалось Angel_1970; 14.02.2025 в 19:57.

  14. Вверх #41014
    Частый гость
    Пол
    Женский
    Сообщений
    825
    Репутация
    1218
    Здравствуйте. У меня такое было.только на жевательных зубах. сама решила сделать снимок 3Д и пошла к врачу. В результате за десну зашла еда и воспалительный процесс стал опускаться на надкостницу. Вам решать

  15. Вверх #41015
    Новичок Аватар для kvitka_moda
    Пол
    Женский
    Сообщений
    59
    Репутация
    12
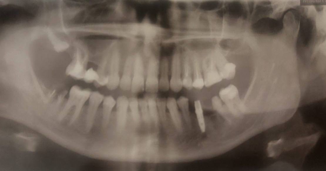
    Здравствуйте. Хотелось бы услышать экспертное мнение. Верхние жевательные, с обеих сторон от 4-ок до 6-ок (конкретно сказать не могу), иногда незначительные болевые ощущения, когда ем сладкое. По данному снимку есть проблемы?

    Нажмите на изображение для увеличения
Название: панорамный снимок2.jpg
Просмотров: 21
Размер:	101.2 Кб
ID:	13616447

  16. Вверх #41016
    Не покидает форум Аватар для Дантист
    Пол
    Мужской
    Адрес
    Одесса
    Возраст
    42
    Сообщений
    7,006
    Репутация
    2319
    Цитата Сообщение от Angel_1970 Посмотреть сообщение
    Добрый вечер.
    Можете подсказать какая причина воспаления десны . Внизу целый мост(металлокерамика). Вверху тоже всё металлокерамика.Никогда не было такого.Может быть повреждения твердой едой(грушей)? На верху слева и справа нет зубов.В декабре вырвали.Жевать не очень удобно.Мазала десну ничего не помогает.
    Снимок нужен. Массивные металлокерамические мосты ухудшают гигиену как правило и приводят к заболеваниям парадонта.

  17. Вверх #41017
    Не покидает форум Аватар для Дантист
    Пол
    Мужской
    Адрес
    Одесса
    Возраст
    42
    Сообщений
    7,006
    Репутация
    2319
    Цитата Сообщение от kvitka_moda Посмотреть сообщение
    Здравствуйте. Хотелось бы услышать экспертное мнение. Верхние жевательные, с обеих сторон от 4-ок до 6-ок (конкретно сказать не могу), иногда незначительные болевые ощущения, когда ем сладкое. По данному снимку есть проблемы?

    Вложение 13616447
    Если проблемы на щечной поверхности зубов, этот снимок их не покажет.
    Электрощетка Орал Би, фторсодержащая зубная паста, уменьшить количество цитрусовых и других кислых фруктов, сладкой газировки и других легких углеводов. Если щетка ручная - чистить от розового к белому.

  18. Вверх #41018
    Новичок Аватар для kvitka_moda
    Пол
    Женский
    Сообщений
    59
    Репутация
    12
    Благодарю за ответ

  19. Вверх #41019
    Живёт на форуме
    Пол
    Женский
    Адрес
    Одесса
    Сообщений
    3,415
    Репутация
    860
    дайте совет. чем можно заполнить пространство после удаленного зуба снизу рядом с зубом мудрости (он есть)? и примерная стоимость
    наличие пустоты раздражает
    прошел 1 год после удаления зуба
    Последний раз редактировалось one-one; 17.02.2025 в 11:40.

  20. Вверх #41020
    Постоялец форума Аватар для eugtar
    Пол
    Мужской
    Адрес
    Одесса
    Возраст
    47
    Сообщений
    2,842
    Репутация
    71994
    Цитата Сообщение от one-one Посмотреть сообщение
    дайте совет. чем можно заполнить пространство после удаленного зуба снизу рядом с зубом мудрости (он есть)? и примерная стоимость
    наличие пустоты раздражает
    прошел 1 год после удаления зуба
    Добрый день.
    Мост/имплантант/съемный зуб «бабочка» – на выбор)
    Цены очень разные на каждый из вариантов, в зависимости из чего, кем и где делается.


Ответить в теме
Страница 2051 из 2068 ПерваяПервая ... 1051 1551 1951 2001 2041 2049 2050 2051 2052 2053 2061 ... ПоследняяПоследняя

Метки этой темы

Социальные закладки

Социальные закладки

Ваши права

  • Вы не можете создавать новые темы
  • Вы не можете отвечать в темах
  • Вы не можете прикреплять вложения
  • Вы не можете редактировать свои сообщения